下载或打开 医联APP 查看完整评论
立即下载
打开APP
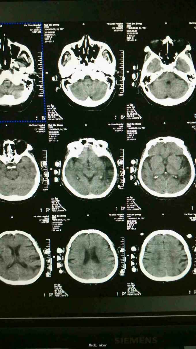
患者男70岁,主因左侧肢体无力,食欲不振两天来诊,既往高血压15年,脑梗死病史一年,有高血压家族史!
入院后查体血压高,反应迟钝,给予脑ct检查,左侧颞叶陈旧性脑梗死,右侧脑室旁腔隙性脑梗死,遂按脑梗死治疗,输液两天后晚上患者突然感觉病情加重,立即给于脑ct检查,跟入院无差别。检查结束后患者突然出现抽搐,全身强直,五分钟后好转,全身大汗。

陈旧性脑梗死,癫痫发作。给予营养脑神经治疗。
患者目前的病情有什么好办法治疗吗?