下载或打开 医联APP 查看完整评论
立即下载
打开APP
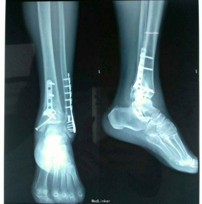
摔伤致右踝关节疼痛肿胀、活动受限3小时余 家属代述3小时前不慎摔伤致右踝关节,当即感疼痛,肿胀活动不利,未行任何治疗,急于我院就诊,经拍片查体后以右踝关节粉碎性骨折收入院。入院时,患者神志清,精神可,各项生命体征稳定,无恶心、呕吐,无头晕、头疼,纳食可,二便调。
专科检查:右踝关节压痛(+),肿胀,活动不利,可触及骨擦感,闻及骨擦音,皮下淤青,肢端感觉及血运可,足背动脉可轻微触及。 拍片示:右踝关节粉碎性骨折


完善相关检查,排除手术禁忌后,行右踝关节粉碎性切开复位没固定 术后片子

术后一个月问诊复查,骨折断端愈合良好