患者5年前无明显诱因下出现尿频、尿急,无伴尿痛、腰痛,无肉眼血尿,无发热、盗汗、胸闷等。1月余前于当地市人民医院查血TPSA 11.538ng/ml,FPSA0.619ng/ml。前列腺MRI示:前列腺中叶肥大,多发增生结节,中央叶偏左侧结节不排除恶性可能。1月前我院行经直肠B超前列腺穿刺活检术,术后病理提示:前列腺癌,Gleason评分 3+3=6分,现遵医嘱返院进行下一步治疗,门诊拟“前列腺癌”收入我科。
外院前列腺MRI示:前列腺中叶肥大,多发增生结节,中央叶偏左侧结节不排除恶性可能。 我院行经直肠B超前列腺穿刺活检术,术后病理提示:前列腺癌,Gleason评分 3+3=6分
前列腺癌 机器人辅助腹腔镜前列腺癌根治术 气管内麻后,患者取平卧位,双腿分开45度,常规消毒、铺巾,头部降低30度。自尿道插入16号双腔气囊导尿管。先于脐左侧约1cm切口切开约4cm皮肤及皮下各层,打开腹膜,进入腹腔。提起腹壁后置入扶镜壁 12mm trocar,于脐孔与髂前上棘连线上距离扶镜壁孔道约8mm处分别置入2个8mm达芬奇专用trocar,右侧为第一机械臂孔,左侧为第二机械臂孔,平第一机械臂孔右侧约4mm置入 5mm trocar为第一辅助通道,右髂前上棘上约2mm置入12mm trocar为第二辅助通道。置入内镜观察各通道位置,完成空间建立。探查盆腔未见异常,电剪刀钝性锐性联合切开盆壁顶部盆腹膜,膀胱下坠后暴露耻骨前列腺韧带,于耻骨后间隙游离膀胱和前列腺,显露盆内筋膜并打开,继续游离前列腺后以2-0可吸收线缝扎阴茎背血管复合体。分离前列腺和膀胱颈边界,切开膀胱颈及其后壁,退出尿管,游离双侧输精管和精囊且断之。打开狄氏筋膜,在直肠前方继续游离至前列腺尖部。钝锐性结合小心分离该平面,以Hem-o-lok结扎双侧前列腺血管蒂,游离至前列腺尖部。剪刀剪开尿道,向外退出导尿管少许,紧贴前列腺将前列腺完全切除。用3-0可吸收线连续缝合缩小膀胱颈口。再次插入20号三腔导尿管,在其引导下可吸收缝线行膀胱尿道吻合,各方位缝合确实后自尿管注入盐水观察吻合口无明显渗漏,导尿管水囊注水30ml并向外牵拉固定。取出标本,彻底止血后左右侧各留置盆腔引流管一根。
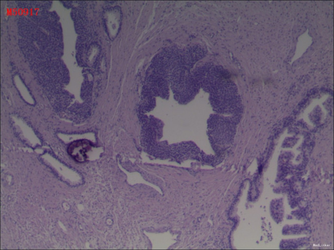
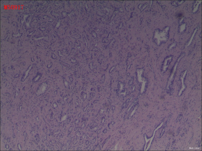
病理:1(前列腺及精囊腺)送检5x4x4cm前列腺一个,左侧精囊腺4x2x0.5cm,输精管长5cm,右侧同左侧。镜下:前列腺腺癌,Gleason评分3+3=6分。双侧输精管及精囊腺未见癌。2(膀胱颈切缘组织)送检直径0.5cm组织一块,全埋制片。镜下:膀胱壁组织,未见癌。3(右侧部分精囊腺)送检直径1cm组织一块,切开全埋制片。镜下:右侧精囊腺组织,未见癌。

