下载或打开 医联APP 查看完整评论
立即下载
打开APP
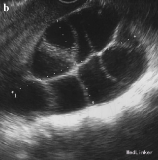
31岁女性,G2,孕10周,因诊断OHSS合并卵巢肿块就诊
hCG 390000 IU/L 超声提示胎盘上有数个囊性肿块,胎儿无胎心 超声还提示双侧卵巢囊性肿块


诊断为OHSS合并葡萄胎 行诊断性刮宫,提示葡萄胎 术后hCG 9830 IU/L OHSS症状愈加明显 患者卵巢增大、出现胸水、腹水,体重增加 术后17天症状缓解 1月后卵巢恢复正常大小 刮宫后20周hCG恢复正常
卵巢过度刺激综合征是诱发排卵过程中较常见的并发症,严重者可引起血液浓缩、胸腹水、肝肾功能损坏、血栓形成、成人呼吸窘迫综合征,甚至死亡。但是本例患者是自然妊娠,并非辅助生殖,所以发生OHSS的原因还好可待探究。 轻、中度OHSS具有自限性,可在门诊严密随访,尤其是妊娠后OHSS可持续达2-3个月,必要给予一般对症治疗,防止病情进一步发展,而对重度OHSS者则应住院积极治疗。