主诉: 前牙外伤折断一周余,要求处理。 病史: 患者,女,52岁,香港人,住附近。半月前,骑电动车不慎摔倒,擦伤上下唇,同时磕断左上前牙。当时在急诊科仅处理伤口,缝针。来到我科时,缝线已拆,但牙痛难受,精神状态较差。

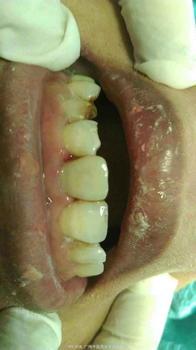
查体: 上下唇左侧有擦伤,痂皮已脱落。左侧口角处缝线已拆,触痛明显。牙齿检查,21-23牙冠折裂,其中21折断范围较大,远中切角缺如,最可喜的是,远中颊角及邻面处断面平龈,近远中邻接关系未破坏,牙髓暴露,叩痛明显。22,23切端折断,未露髓,暂无不适。 三牙牙体折断面已污染。 咬合关系检查,无明显高点,张口度可。 精神状态及依从性评估: 精神低落,极度敏感。一年前,家里发生变故,丈夫去世,一直睡眠质量较差。此次看牙,由新男友陪同,神情恍惚,不敢高声言语,但面部焦急不堪。经朋友介绍,来找我就医。说明病情,治疗、修复方案,知情同意。 辅查: 根尖片,21-23无根折,根尖区无阴影。

诊断: 21-23冠折,21急性牙髓炎 治疗修复方案: 21根管治疗,树脂修复。 步骤: 1,21局麻下拔髓,调咬合,初步急性处理。折断面暂不做任何处理。转治疗医生。 2,分层树脂修复21。 A,清洗断面,打磨锐利边缘,无基釉,砂纸、毛刷抛光粘结面。 B,比色。 C,隔湿,排龈,成型片隔离邻牙。 D,酸蚀,涂粘结剂。 E,分层树脂充填。硅橡胶舌侧树脂薄翼,简化操作难度,节省材料。 F,修形,抛光,涂偶联剂。 3,延期树脂修复22,23。


1,处理果断,迅速。主要先解决疼痛和美观问题。病人就诊时,断裂面已过24小时,不可立即修复。牙髓已发炎。精神状态不好,简单病情沟通。 2,心理干预。通情(compathy),行为疗法。 3,接着美容修复21,解决容貌,美观,利于交际。
