患者,女,47岁。以“心悸、多汗7个月,频发饥饿感2个月”为主诉入院 患者7个月前无明显诱因出现心悸、多汗,休息20分钟左右自行缓解,症状发生时未测血糖,未系统诊治。患者2个月前开始频繁出现饥饿感,未系统诊治。3天前无明显诱因出现呼吸困难,就诊于当地医院,测血糖3.2mmol/L,血压120/80mmHg,心率140次/分,转入我院急诊,查空腹血糖2.62mmol/L,现为进一步明确低血糖原因入我院。
体格检查:未见异常。 辅助检查: 昼夜皮质醇节律: 8:00 15:00 24:00 COR(nmol/L) 381.10 881 45.86 ACTH(pg/ml) 17.39 33.36 5.16 性激素六项:E2 172.00pmol/L,TES <0.69nmol/L,LH 14.80mIU/mL,FSH 37.00mIU/mL,PRL 360.00mIU/L,PRG <0.64nmol/L。 延长OGTT: 0 30 60 120 180 240 300 GLU(mmol/l) 1.68 5.89 6.93 8.16 6.96 3.3 3.34 CPS(pmol/l) 1426.44 3699.03 3453.18 2421.52 1894.33 1315.43 1252.91 IRI(mIU/L) 34.47 204.8 148.7 66.14 40.64 25.45 28.83 ProIns(pg/ml)1760.34 1085.78 1231.77 1484.59 1687.49 1970.05 2298.18 胰岛素释放指数 1.14 0.43 0.48 便常规+潜血、尿酸、风湿三项、心肌酶、HbAlc、糖尿病抗体系列、IGF-1、生长激素、梅毒、HIV、结明试验未见异常。昼夜皮质醇节律等待结果回报。





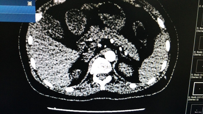
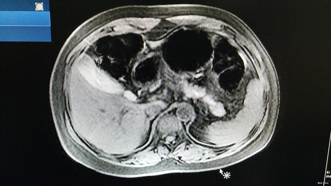
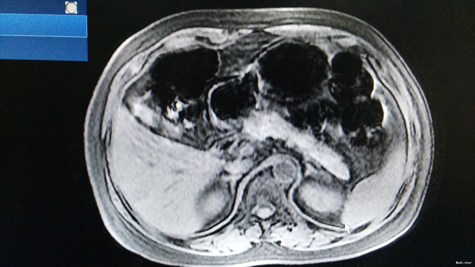
诊断为:低血糖症, .治疗:针对低血糖症:监测血糖,防止患者因低血糖发生意外。 2.针对胰腺占位性病变(胰岛素瘤可能性大):建议转入胰腺外科手术治疗,病情变化随诊。
大家应明确什么是低血糖,低血糖症,低血糖反应,临床上应多思考。