下载或打开 医联APP 查看完整评论
立即下载
打开APP
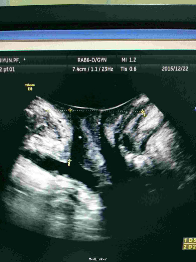
主诉:尿痛2年 病史:患者老年女性,于2年前无明显诱因出现排尿疼痛,无尿频、尿急,无血尿、脓尿,曾在当地医院查尿常规、尿培养、支原体等均未见明显异常,予对症及中药治疗未见好转(具体不详)。2周前在当地医院行IVP及泌尿系B超检查未见明显异常,膀胱镜检查提示膀胱憩室及尿道口息肉。今到我院门诊就诊,为进一步治疗收入我科。
查体:双肾区无红肿、隆起,无叩痛,双侧肋脊点、肋腰点无压痛。尿道口可见大小约3mm息肉,未见盆腔脏器脱出。 辅查:2015-12-8清远市中医院IVP未见明显异常;胸片提示主动脉硬化;泌尿系B超未见异常;膀胱镜检提示膀胱憩室,左右侧壁各1个,分别约2*3cm、3*4cm;尿道口息肉。


诊断:膀胱憩室;尿道息肉; 治疗:1、完善常规检查; 2、对症治疗; 3、择期行膀胱镜检术,排出盆腔脏器病变。
该患者因排尿疼痛就诊,应注意与膀胱颈挛缩、神经源性膀胱功能障碍相鉴别。患者老年女性,应警惕恶性肿瘤的可能,注意行膀胱镜检以明确。