下载或打开 医联APP 查看完整评论
立即下载
打开APP
打开应用
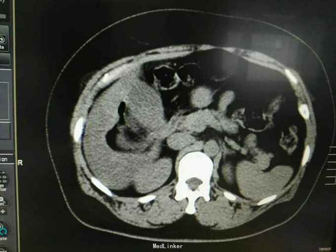
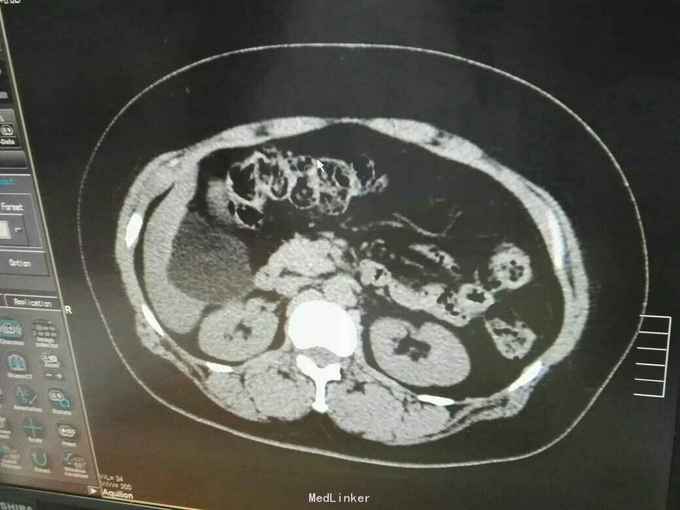
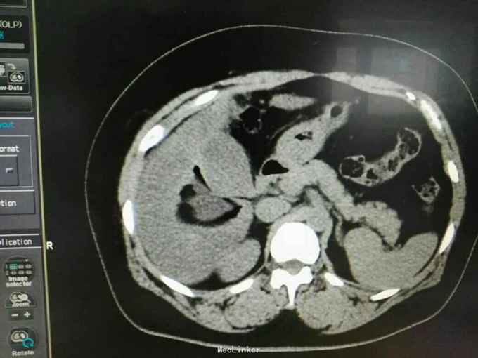
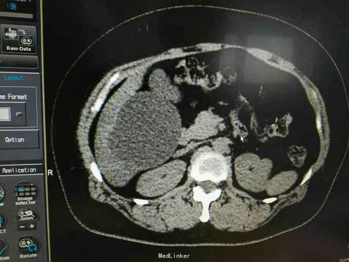
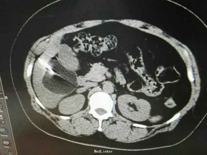
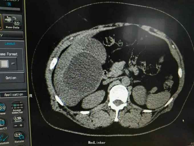
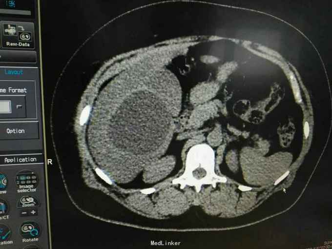
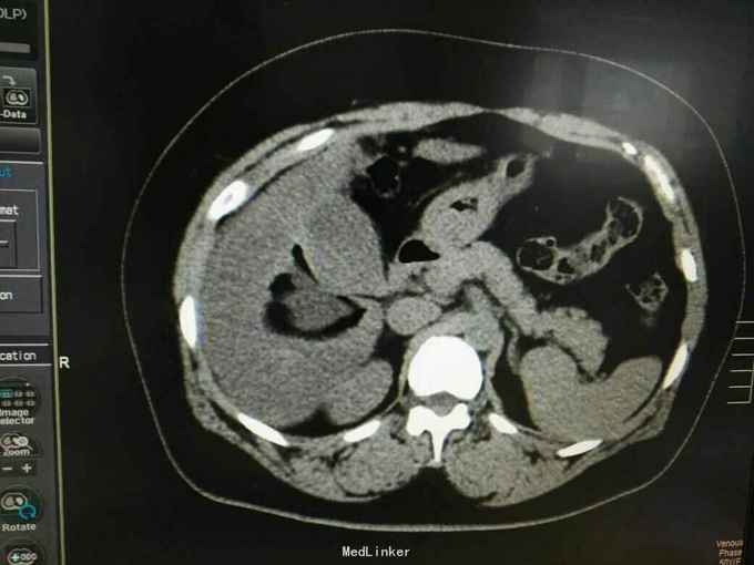
巨大肝囊肿
王医师
烟台市中医医院
肝囊肿
肝囊肿
主诉 病史
发现肝脏占位10年
查体 辅查
肋弓下可触及囊性占位
诊断 处理
肝囊肿
随访 讨论
今日在局麻下行囊肿穿刺抽吸+无水酒精注射术 术中共抽取淡黄色液250ml
发布于 15-12-23 18:43
医联推荐你看
多发巨大肝囊肿一例
巨大肝囊肿一例
肝囊肿
共
9
个评论
查看更多评论
发送
0