患者女,21岁。因“反复发热近2月。”轮椅入病房。患者近2月前无明显诱因出现发热,体温最高达39℃,伴出汗,头痛,无畏寒,寒战等不适。当地卫生所就诊,服用抗生素治疗(具体不详)后发热消退,但此后反复不规则发热,伴有轻度咳嗽,气短,咳白泡沫痰,间有痰中混暗红小血块、血丝,无明显呼吸困难,无端坐呼吸,无双下肢浮肿。于2015年10月22到汕头市第三人民医院就医,予“抗炎治疗“(具体不详),病情无明显好转,后转至汕头中心医院住院行心彩超等检查考虑“感染性心内膜炎:二尖瓣赘生物形成,二尖瓣关闭不全(重度),”予“抗炎治疗”(具体不详),症状有所好转,于今转诊我院,拟“感染性心内膜炎”收入院,患者病程中无心前区痛,无胸痛,无晕阙,肢体活动障碍,无恶心、呕吐,无腹痛,腹胀,无关节痛,无咽痛,无视觉异常等,起病以来患者精神疲软、胃纳差、睡眠欠佳,大、小便正常,体重无明显变化。 既往史:否认“肝炎、结核”等传染病史,否认“高血压史、冠心病史、糖尿病”等慢性病史,否认手术史、外伤史、输血史,否认过敏史,预防接种史不详。
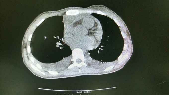
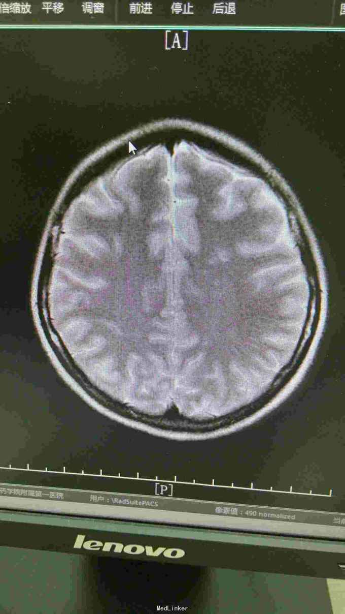
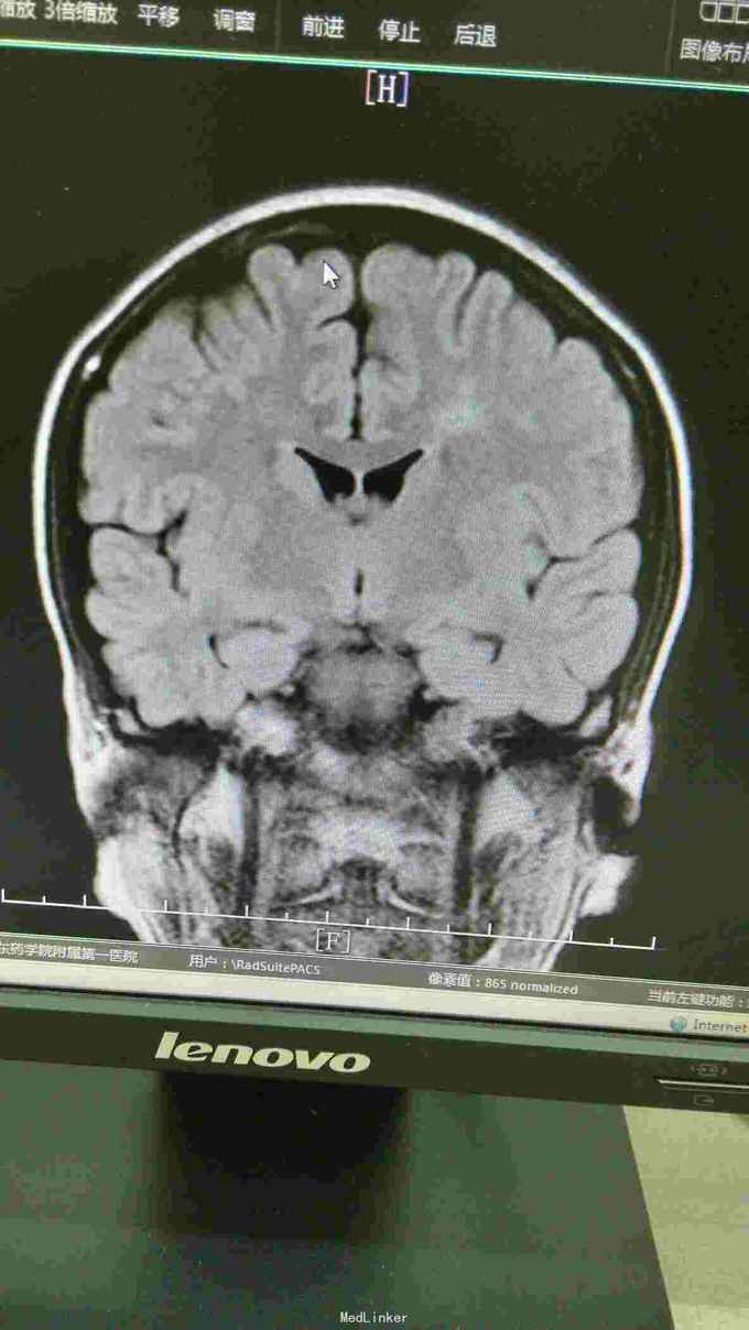
查体:T37.0℃,P110次/分,R26次/分,BP96/68mmHg。发育正常,营养一般,神志清楚,对答切题,轮椅送入院,查体合作。全身皮肤粘膜无黄染、皮疹,出血点及淤斑,未见Janeway结节,未见Osler结节及甲床下出血,无发绀,未见杵状指、趾,周围血管征阴性。浅表淋巴结未及肿大。巩膜无黄染,结膜无出血。口腔黏膜光滑,咽不红,扁桃体部大,颈静脉无明显搏动,未见怒张,气管居中,胸背部听诊双下肺闻及细小湿啰音。心前区无隆起或抬举性搏动,心尖搏动以左侧第六肋间锁骨中线外1.5cm处明显,未扪及震颤,心界向两侧稍扩大,心率110次/分,律齐,心音有力,P2稍亢进,无固定分裂,心尖区闻及3-4/6级收缩期吹风样杂音,向心底部传导,未闻及舒张期杂音,未闻及心包摩擦音。腹平软,无压痛及反跳痛,肝脾肋下未及,肠鸣音正常。脊柱、四肢关节无异常,活动好,双下肢无浮肿。 2015年10月30日汕头市中心医院心彩超:二尖瓣及瓣下腱索及左室心内膜多发赘生物形成,二尖瓣前瓣穿孔,重度二尖瓣关闭不全,左心系统扩大,心肌舒张功能下降,收缩功能正常,感染性细菌性心内膜炎,微量心包积液。 2015-11-1血常规:中性粒细胞比例 0.949,血红蛋白浓度 117.000(g/L),中性粒细胞计数 18.360(10E9/L),白细胞计数 19.350(10E9/L),血小板计数 343.000(10E9/L),红细胞计数 4.350(10E12/L)。 B超:双侧颈动脉血流通畅,双侧椎动脉未见狭窄。双侧甲状腺不大、未见占位,血供尚丰富。双侧颈部淋巴结声像,双侧乳腺未见明显占位,超声BI-RADS分类1类,双侧腋窝淋巴结声像。双肾未见结石与积水,双肾动脉主干血流连续,膀胱未见明显结石,双侧肾上腺区未见明显占位。肝脾胰不大,未见占位,胆囊未见明显结石,子宫及双侧附件区未见明显占位,宫后积液(少量)。 胸部CT:1、两下肺叶后基底段局部节段性肺炎。右肺中叶少许纤维化病灶。2、双侧胸腔少量积液。 胸片:考虑双肺炎症。 心电图:心率84次/分,窦性心律,肢体导联低电压,前间壁R波上升不良。 心彩超:1、考虑感染性心内膜炎:二尖瓣赘生物形成,伴中重度二尖瓣反流。中度三尖瓣反流。3、左房内径增大,肺动脉增宽。 头颅MR:左侧额叶、左侧放射冠侧脑室前角旁脑白质异常信号,考虑感染性病变及缺血灶可能性大。 2015-11-2查血常规:中性粒细胞比例 0.840,血红蛋白浓度 103.000(g/L),中性粒细胞计数 14.730(10E9/L),白细胞计数 17.540(10E9/L),红细胞计数 3.890(10E12/L),血小板计数 353.000(10E9/L)。 10月31日左上肢、右上肢、下肢血培养均提示:草绿色链球菌,对万古霉素敏感。 2015-11-6肾功能:肌酐 130.000(umol/L),尿素氮 5.250(mmol/L),二氧化碳结合力 30.500(mmol/L),电解质:钠 138.000(mmol/L),氯 96.000(mmol/L),钾 3.500(mmol/L),钙 2.310(mmol/L),肝功能:白、球蛋白比例 1.300,未结合胆红素 10.500(umol/L),总胆红素 17.900(umol/L),丙氨酸氨基转移酶 31.000(U/L),总蛋白 75.000(g/L),球蛋白 32.000(g/L),白蛋白 43.000(g/L),结合胆红素 7.400(umol/L),门冬氨酸氨基转移酶 31.000(U/L),脑钠肽:191.400(pg/ml)。 24小时心电图:窦性心律,房性早搏,部分成对,短阵房速,多源室早,部分成对,部分呈三联律,短阵室速。









根据患者病史、查体、辅助检查可明确术前诊断:1、亚急性感染性心内膜炎:二尖瓣赘生物形成,二尖瓣关闭不全(中-重度),三尖瓣关闭不全(中度),心功能Ⅱ-Ⅲ级。2、肾功能不全。3、贫血。予选择敏感抗生素抗感染治疗,先用万古霉素1g q12h+阿米卡星0.3 q12h,抗感染治疗,后查肌酐升高,肌酐 145.000(umol/L),肾功能受损,考虑与万古霉素有关,请临床药师会诊建议调整抗生素,11-8改头孢曲松1g q12h抗感染。另积极强心、利尿、控制心率、营养心肌、提高免疫力、输血等治疗,患者仍间有高热、畏寒,存在肾功能损害、贫血,手术时机不能拖延。2015-11-12全麻体外循环下行左心赘生物清除、二尖瓣置换、三尖瓣成形、卵圆孔未闭修补术。 手术记录: 平卧位,麻醉诱导插管,左桡动脉穿刺置管测血压,右颈内静脉穿刺置管测中心静脉压及输液,留置导尿管,安尔碘消毒皮肤,常规铺巾,贴皮肤保护膜。正中切口,纵锯胸骨进胸,正中切开心包,术中探查:少-中量淡黄色心包积液,右心房、右心室明显增大,主动脉:肺动脉=22:28(mm),肺动脉扪诊张力较高,主动脉根部无震颤。常规主动脉、上、下腔静脉套带,缝合荷包,上腔静脉荷包用4-0prolene线缝在上腔静脉根部。肝素化(3mg/kg),依次插主动脉管(20号)、上腔管(26号金属直角管)、下腔管(32号),转机并行循环,右上肺静脉插左心引流管,主动脉根部插灌注针。阻断上、下腔静脉,阻断主动脉,顺灌4:1含血停跳液300ml,心表冰泥降温保护心肌,心脏停跳,纵形切开右房见卵圆孔未闭,切开房间隔,探查见二尖瓣败坏严重,前瓣靠瓣沿有一较大赘生物,瓣下腱索上也有芝麻粒大小赘生物,后瓣靠前交界瓣叶上右大小不等赘生物,腱索挛缩,将瓣叶及赘生物粘在左室后壁,瓣口关闭不全,左房后壁靠瓣环前交界附近有散在的米粒或芝麻大小赘生物,无附壁血栓。切除病变瓣膜及腱索,仔细清除左心室、瓣环及左房后壁赘生物,高效碘消毒左心腔,大量冰生理盐水反复冲洗左心室,测量瓣环可容27号,全周带垫片褥式缝合14针,再次冲洗左心室,用carbomedics 27号瓣,上瓣打结,检查瓣膜固定满意,瓣叶开闭正常,将左心引流管通过瓣口置入左心室内,用4-0prolene线封上下角后连续往返缝合房间隔切口,修补未闭卵圆孔。探查三尖瓣环扩大达3横指多,用3-0proline线带垫片缝缩三尖瓣后瓣环(半个devage成形),做三尖瓣成形至能通过约2个横指,主动脉灌注针及左心管排气,开放主动脉阻断钳,心脏自动复跳,为结性心率,心率慢,约50-60次/分。用4-0prolene线关闭右心房切口。辅助循环后转为窦性心律。复温及并行循环辅助后血流动力学稳定停机,依次拔出左心管、下、上腔管,主动脉根部注射鱼精蛋白,拔出主动脉管,检查心脏各切口并止血,心脏各切口覆盖艾薇停(1包)、胶原蛋白海绵(2包),3-0滑线连续缝合心包,电烙骨腊止血,留置心包及纵膈引流管,5根钢丝对合胸骨,逐层缝合关胸,术毕。 术后继续孢曲松1.5g q12h+庆大霉素4万U q8h抗感染,另积极强心、利尿、控制心率、营养心肌、抗凝、提高免疫力、补充营养等治疗,患者无发热、寒战,全身状况好转,但出现反复双侧胸腔积液及心包积液,予心包穿刺引流及胸腔闭式引流。目前患者在平稳恢复中,治愈出院。
关于感染性心内膜炎此前我发布过一个病例,但不同的病例有不同的特点和经验教训。上次的病例病变范围大,累及多瓣膜,治疗的难度在手术关,因手术过程复杂、手术时间长、对患者全身打击影响大,但上一个病例术前感染控制良好,在全身情况明显好转的情况下手术。此次发布的这个病例赘生物累及的瓣膜无上例多,但本例患者术前感染无法控制,反复高热、寒战,且赘生物大且形态呈“甩鞭样”,随时可能脱落栓塞周围脏器,另头颅MR报告左侧额叶、左侧放射冠侧脑室前角旁脑白质异常信号,考虑已有部分小栓子脱落栓塞脑血管形成小的感染性病变及缺血灶可能性大。因此综合考虑上述因素决定无法等患者全身状态好转在所谓的“理想状态”下手术,必须冒风险尽快行手术治疗,否则患者全身情况会进一步恶化并且可能发生脑栓塞,因此失去手术时机并可能导致死亡。术中需仔细清除干净感染的赘生物,术后积极强心、利尿、支持治疗并且敏感抗生素治疗4周。该病例术后出现反复双侧胸腔积液及心包积液,上一个病例也曾出现胸腔积液,考虑与患者术前全身状况不佳、心功能差及感染性心内膜炎所致的全身败血症及感染微栓有关。