下载或打开 医联APP 查看完整评论
立即下载
打开APP
主诉:腰背部、右髋渐进疼痛15年,右髋强直8年,加重1年 现病史:15年前无明显原因出现腰背部疼痛,右髋关节疼痛,为酸胀痛,可耐受,休息后症状自行缓解。5年前患者出现驼背,脊柱活动受限,右髋强直活动受限,在风湿免疫科就诊,诊断为:强直性脊柱炎,右股骨头坏死,予以口服善存片、萘普生等药物治疗,疼痛稍减轻,可自行行走,连续行走距离2000米左右;1年前患者感右髋疼痛明显加重,行走距离变短,口服止痛药不见好转。







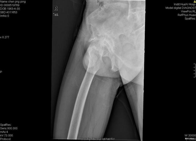
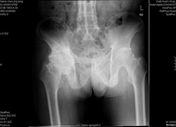
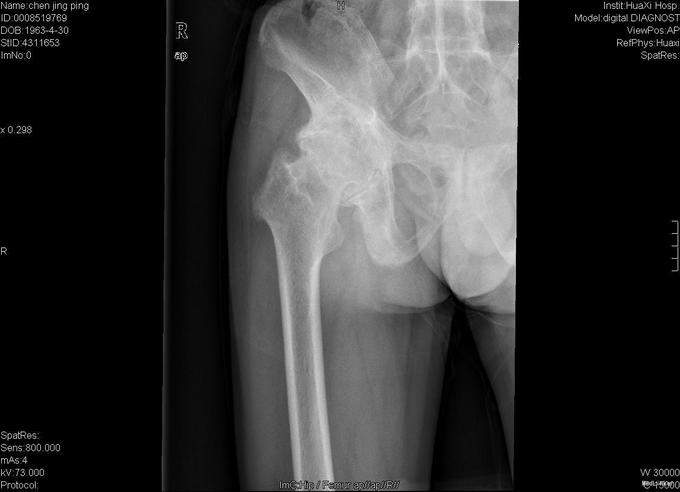
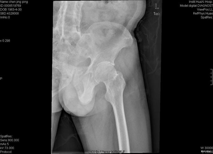
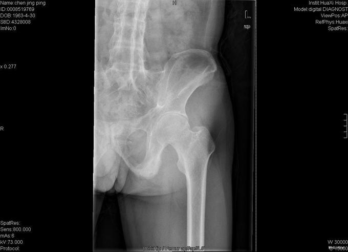
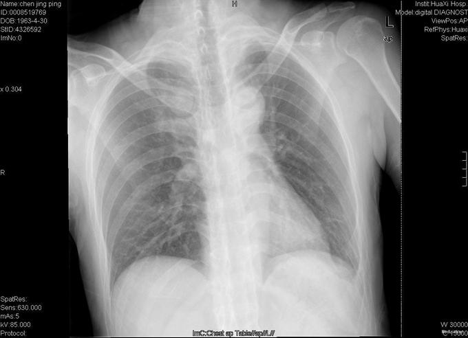
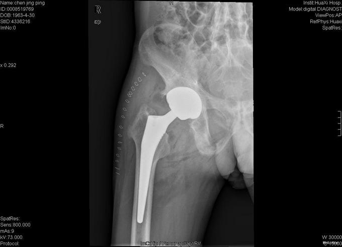
查体:跛行步态,强迫体位,脊柱强直后凸畸形,活动受限。右髋强直畸形,压痛、叩痛,无瘢痕、窦道,无皮损、皮癣,活动受限。双下肢感觉无明显异常。 辅助检查:x线片:脊柱呈"竹节样"改变,腰椎小关节间隙模糊,双侧骶髂关节及右髋关节间隙消失,骨性融合。



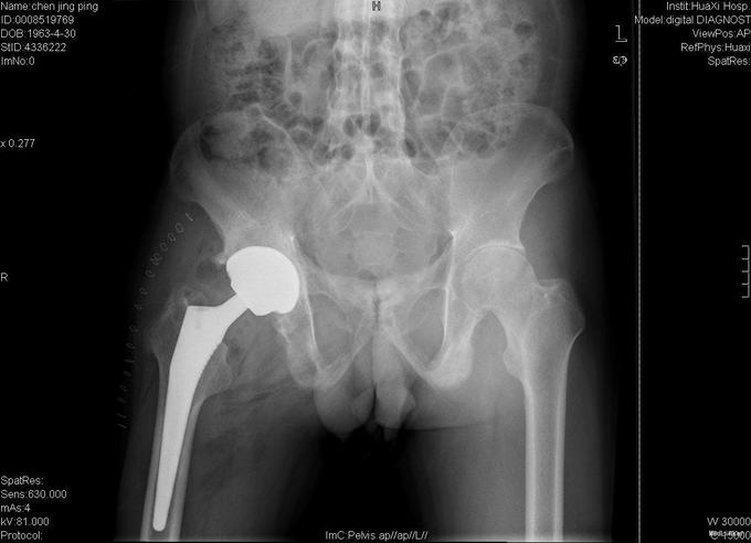
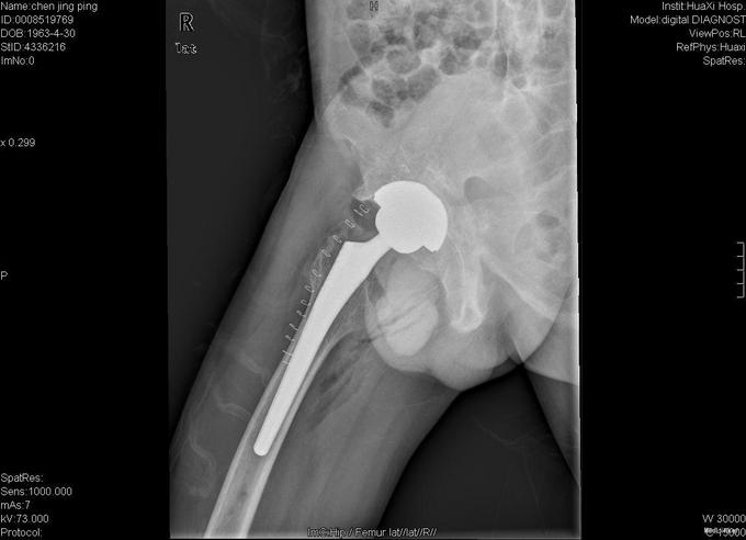
诊断:强直性脊柱炎 右髋关节强直 治疗:完善相关检查后在全麻下行右侧全髋关节置换术+髋臼成形术,手术顺利,术后予以抗炎+抗凝+阵痛等治疗。
术后患者恢复良好,右髋屈曲100°,伸直0°,外展40° 1、强直性脊柱炎起病特点有哪些 2、实验室检查及影像学表现有何特点? 3、治疗原则及主要治疗方法有哪些?