下载或打开 医联APP 查看完整评论
立即下载
打开APP
中年男性,主诉:超发现肝占位性病变5 月,伴腹胀、纳差半个月。既往史无特殊。
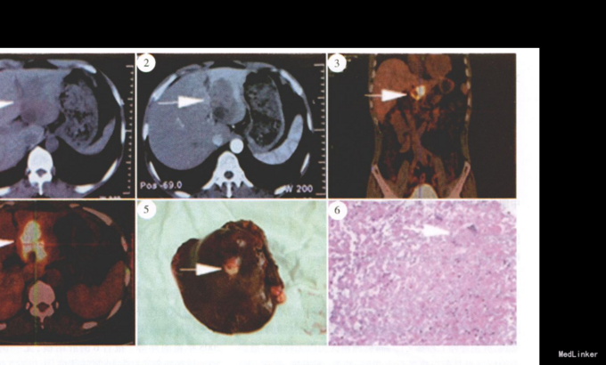
查体:一般情况尚可,全身皮肤黏膜未见黄染,浅表淋巴结未触及,心肺未及异常。腹平软,剑突下压痛,未及包块。 辅查:肿瘤标记物甲胎蛋白(AFP)、CA19-9、癌胚抗原(CEA),血常规、生化均正常。胸片提示未见异常。B超:肝左外叶1.7 cm×1.7 cm 低回声区;上腹部CT 平扫+增强结果:“肝左叶占位性病变,考虑:(1)肝左叶癌,其内部分坏死;(2)肝左叶胆管细胞癌,并邻近肝 内胆管扩张”(图1、2)。PET-CT 报告:“肝左外叶占位性病变,代谢活跃,考虑原发性肝癌”(图3、4)。

考虑诊断:肝左叶占位性病变:(1)肝内胆管癌;(2)原发性肝癌。 予手术治疗,术中见肝左外叶探及肿瘤约7.0 cm×6.0 cm×6.0 cm,质硬,边界尚清(图5),肝脏脏面可见3.0 cm×3.0 cm 肿块组织突出肝实质,表面光整;肠管未及特殊病变。术中诊断:肝内胆管癌(肝左外叶),手术行肝左外叶切除+肝门淋巴结清扫。术后本院病理结果:大体标本剖面为实性结节肿物,黄褐色,质地脆;光镜可见干酪样坏死、Langhans 巨细胞、上皮样细胞以及淋巴细胞浸润(图6)。病理诊断:(肝左外叶)符合肝结核病理改变;No.12a 和No.12p 淋巴结示慢性炎;外院会诊病理切片示:(肝左外叶)肝肉芽肿性炎伴坏死,片内提示结核(图6)。术后查血沉39 mm/h,抗结核抗体阴性,结核菌素试验阴性。 修正诊断:肝结核
原发性肝结核十分少见,常继发于肺结核、肠结核。往往容易误诊,需与原发性肝癌、肝转移瘤、炎性假瘤、肝脓肿相鉴别。 1005-2208(2012)05-0425-02