下载或打开 医联APP 查看完整评论
立即下载
打开APP
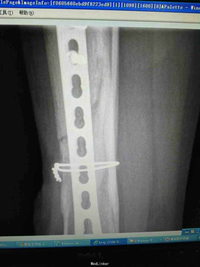
男性患者,因外伤后胫骨骨折行钢板内固定,术后因创面不愈合,于49天转我科,局部负压吸引,植皮封闭,约3月半出院,出院后3月因皮肤破溃钢板外露再次入院
一般情况好,X线提示部分骨痂生长,小腿内测中下段可见皮肤破溃,局部红肿,部分渗出,骨及钢板外露


入院请骨科会诊并加强局部换药,创面清洁后接受骨科建议,术中拆除钢板并并小腿内侧双蒂皮瓣转移覆盖,术中皮瓣下放置负压引流管,术后2天拔除,术后7天术区情况好


目前随创伤患者增多,开放性骨折患者逐渐增多,且损伤多严重,软组织损伤严重。创面修复困难,该患者早期小腿多处创面,后经长时间治疗创面逐渐愈合,但是愈合质量差,在家中出现破溃合并感染后进一步扩大。如保留钢板皮瓣转移发生感染可能性相对大,因伤后6月,部分骨痂已经生长,经骨科会诊后拆除钢板,以尽量清洁创面,术中认真清洗,皮瓣要求张力小,确保愈合,术后对骨折部位的保护非常重要,需要预防出现二次骨折,且严密观察有无骨髓炎发生可能。