患者以“间断停经4年余,头疼、恶心半月余”入院 患者4年余前无明显诱因出现停经、体重增加,持续约半年,未系统诊治,随后经运动减肥后体重下降(具体不详),半年后月经来潮,此后经量较停经前减少,约2-3天/次,月经周期延长,约40天。4个月前,患者无明显诱因停经至今,半月余前患者出现头痛,以左侧及眼眶周围为重,伴有头晕、耳鸣,发作时自觉恶心,无呕吐,双眼视物模糊,以左眼为重,无昏厥,无心慌、气短,无一过性黑曚。就诊于当地医院,完善垂体核磁,提示“垂体饱满”,建议入我院系统诊治。
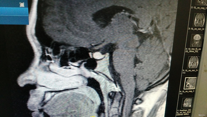
入院查体:无毛发增多,无满月脸及多血质面容,齿龈有色素沉着,可见喉结,颜面及后背可见皮肤痤疮,毛囊角化,未见明显胡须及腋毛,无颈蹼、肘外翻、双乳腺未发育。腹部未见紫纹,阴毛稀少、呈女性分布,可见阴蒂肥大呈阴茎状,外阴部仍可见尿道口。 入院后完善检查及检验: 肾上腺皮质节律: 8:00 15:00 24:00 第一天:ACTH 15.82 18.8 172.6 COR 277.6 372.7 387 第二天:ACTH 29.98 17.51 6.97 COR 478.7 227.4 57.66 第三天:ACTH 42.35 13.15 12.52 COR 547.9 179.3 62.07 血清生长激素测定GRH<0.15mIU/L。胰岛素生长样因子-1IGF-1183.00ng/ml。血清泌乳素测定PRL350.00mIU/L。促性腺激素系列:血清促卵泡刺激素测定FSH3.36mIU/mL,血清促黄体生成素测定LH9.47mIU/mL。男性激素系列:血清雄烯二酮测定AND10.80nmol/L,血清睾酮测定TES3.50nmol/L,血清游离睾酮F-TEST12.13pmol/L,血清脱氢表雄酮及硫酸酯测定DHS5.89umol/L,性激素结合球蛋白SHBG54.20nmol/L。雌性激素系列:血清孕酮测定PRG6.77nmol/L,血清雌三醇测定UE3<0.24nmol/L,血清雌二醇测定E2354.00pmol/L。阴式彩超:右卵巢囊性回声,内呈网状,盆腔积液。鞍区MR平扫+增强:垂体形态饱满,考虑垂体增生,请结合临床。肾上腺3D增强CT:左侧肾上腺结合部改变





诊断:月经失调 治疗:黄体酮早晚各2粒,连服5天,停药3-7天来月经。若停药超过14日不来月经来诊。妇科门诊再诊。
现在女性患者月经失调的患者越来越多,于我科检查相关激素多数患者是未见异常的,临床医生应引发思考,什么原因导致如此多的女性患者月经失调。