下载或打开 医联APP 查看完整评论
立即下载
打开APP
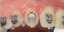
青少年男性,前牙不美观,要求解决

双侧磨牙I类关系,先天缺失双侧上颌侧切牙,上前牙散在间隙
诊断:先天缺牙(12、22牙缺失) 治疗:初步计划推出2间隙,留待成年后修复。但患者及家属不愿意口内有假牙,所以更改计划为以3代2,近中移动双侧上后牙,但需加强前牙支抗及调磨3的外形,患者知情同意。








治疗后磨牙完全远中的尖窝关系,前牙美观可,患者满意。正畸是个多种可能性的学科,每个医生的治疗方案可能都不甚相同,重在医生自己能够控制。


