下载或打开 医联APP 查看完整评论
立即下载
打开APP
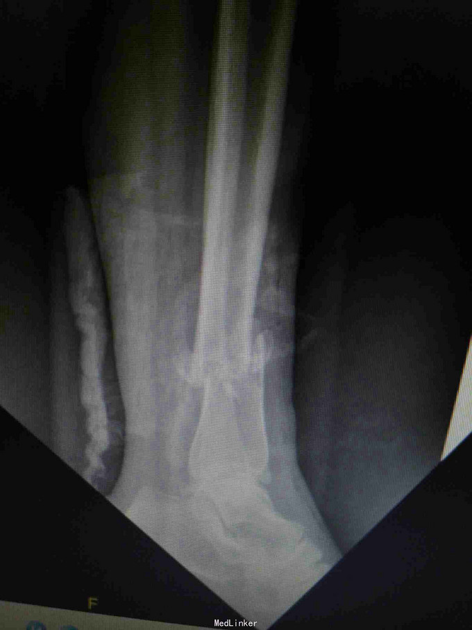
患者,男,29岁,摔伤致左小腿肿痛,活动受限,流血2小时入院。
入院查体:左小腿下段内侧可见一约2cm大小开放伤口,左下肢皮肤感觉及末梢血运正常。



诊断:左胫腓骨下段开放性骨折。 治疗:考虑内侧有开放伤口,行内侧钢板固定感染概率大,我们采用前外侧入路,显露胫腓骨下段骨折端进行固定。



术后复查X线片提示骨折端对位对线好,伤口正常愈合,未出现感染。 讨论:患者内侧可见开放伤口,这时候采用内侧开放复位钢板固定感染概率大,我们采用前外侧切口,可避开内侧伤口,同时可清楚显露胫腓骨下段骨折端,并可有效固定。

