下载或打开 医联APP 查看完整评论
立即下载
打开APP
20岁男性患者,主诉:发热2月。 现病史:患者于2月前无明显诱因出现咽痛伴发热,测体温最高为40摄氏度,发热前有寒战,发热无规律,无咳嗽、咳痰,无胸痛、咯血、盗汗,无胸闷、气短,于当地医院诊断为:化脓性扁桃体炎,给予抗感染治疗后体温有所下降,未重视及进一步治疗。2天前无明显诱因出现咳嗽、咳少量暗红色血痰,伴胸痛、气短遂来我院。近1周食纳差。









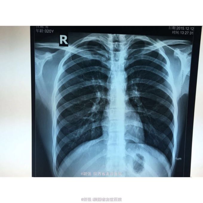
查体:口唇无发绀,咽充血,双侧扁桃体2度大,表面可见脓胎。两肺呼吸音粗糙,可闻及管状呼吸音。余查体无明显异常。 辅助检查:血常规提示白细胞及血小板明显低于正常值,肝功提示转氨酶升高。凝血系列:PT、APTT时间明显延长。T sport试验弱阳性。10月份胸部CT平扫未见明显异常。10月26日及12月12日胸片未见明显异常。12月19日胸部CT提示:两肺斑片状阴影,两侧胸腔积液。









败血症、急性化脓性扁桃体炎 给予特治星抗感染、保肝、补液支持治疗。








目前患者正在积极抗感染治疗,血培养及痰培养结果未回报。








