患者老年男性,以“胃癌术后1年半”为主诉入我院胃肠外科。 现病史:患者2014年2月19日于我院全麻下行胃癌根治术,术后恢复良好,病理回报:胃贲门处神经内分泌癌,浸润肌层,Her-2(-),胃角处腺癌(中-低分化),浸润全层,Her-2(3+),淋巴结转移癌(1组7/10;2组1/3;3组3/4;5组1/6,;8组1/1),其余各组未见转移(4组0/3;7组0/1,10组0/1),各断端、大网未见瘤组织。术后规律化疗,未见明显不适。现为求继续化疗来院,门诊以“胃癌术后”为主要诊断收入院治疗。近来患者无发热,无腹痛、腹胀,无恶心、呕吐,二便正常,饮食可,精神状态良好。 既往史:2014年2月19日于我院全麻下行胃癌根治术。糖尿病病史,否认高血压、心脏病等病史,否认肝炎、结核病史,否认外伤史,否认药物及食物过敏史。
查体:T:36.7℃,P:82次/分,BP:118/79mmHg,R:18次/分。一般状态可,查体合作,神清语明,皮肤巩膜无黄染,浅表淋巴结未触及肿大。头颅外观无异常,双侧瞳孔等大正圆,直径约3mm,直接及间接对光反射灵敏。口鼻耳未及异常分泌物。颈软,气管居中,甲状腺软无结节,颈静脉无怒张,颈动脉搏动正常。胸廓正常,肺部双侧呼吸动度一致,触觉语颤正常,肺部叩诊清音,听诊未及干湿罗音。心前区视诊无异常隆起,无震颤,心界正常,心音钝,律齐,心率82次/分,各瓣膜听诊区未及明显病理性杂音及额外心音。腹平软,左上腹肋缘下可见长约20cm手术切口疤痕,无胃肠型及蠕动波,无腹壁静脉曲张。全腹无压痛,无反跳痛,无肌紧张,肝脾肋下未触及,移动性浊音阴性,肠鸣音4次/分。肛门及外生殖器未及明显异常。 辅助检查:病理:胃贲门处神经内分泌癌,浸润肌层,Her-2(-),胃角处腺癌(中-低分化),浸润全层,Her-2(3+),淋巴结转移癌(1组7/10;2组1/3;3组3/4;5组1/6,;8组1/1),其余各组未见转移(4组0/3;7组0/1,10组0/1),各断端、大网未见瘤组织。


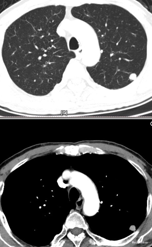
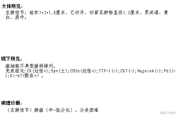
入院后复查胸部CT时发现左肺新发肿物,后转入我科,行详细术前检查后,行胸腔镜左肺上叶肿物切除术。术后病理回报:(左肺结节)肺癌(中-低分化),分类困难。患者顺利出院。

讨论:已嘱此患者本院病理上级医院进一步会诊,术后应如何维持治疗?