下载或打开 医联APP 查看完整评论
立即下载
打开APP
患者老年男性,77岁。因:腰痛,伴双下肢放射痛。活动受限二天。来诊。病人近半年间断腰痛,休息减轻。劳累加重。近二日腰背部疼痛明显加重。不能平卧于床。行走困难。双下肢放射痛。急来诊。因不能平卧,无法查核磁共振,门诊以:腰间盘突出收入院。









查体:神志清,语言流利。呼吸平稳。腹软,腰背部外形较好,无畸形。不能平卧,屈伸活动受限。床上取侧身蜷腿弯腰卧位。双侧下肢放射痛。肌力减退。皮肤感觉麻木。无辅助检查。









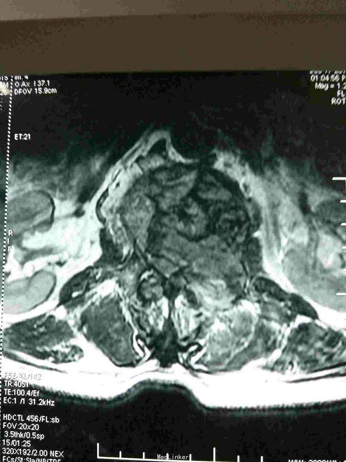
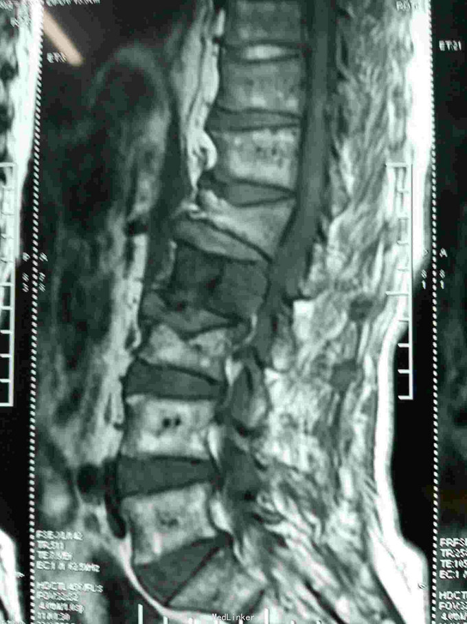
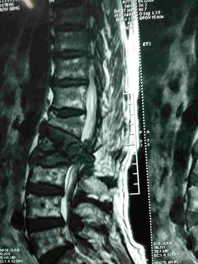
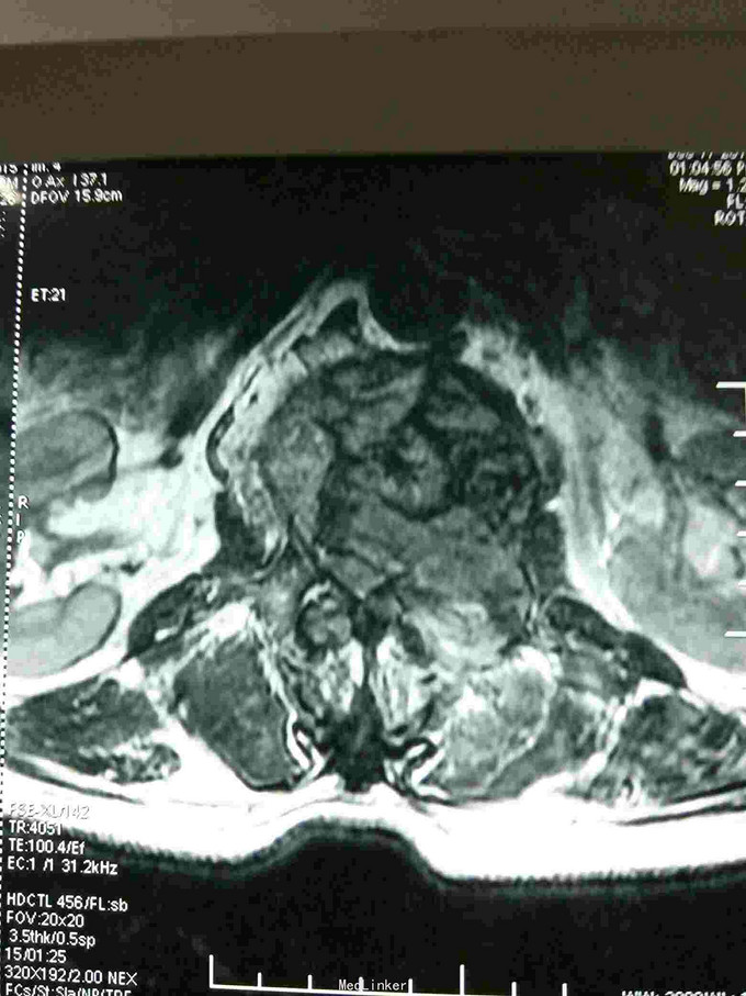
根据病史查体诊断:腰间盘突出症待确诊。应用消肿营养神经镇痛治疗。一天。查核磁共振示:腰椎多节段间盘突出伴椎管狭窄。第二腰椎骨破坏侵及椎板。部分突入椎管,脊髓受压。诊断:腰间盘突出伴椎管狭窄。第二腰椎转移癌,脊髓受压。经与家属沟通,查双肺CT:双肺下叶炎症。肺部纤维化。可见肿瘤阴影。肋骨及胸膜受累。胸椎部分骨破坏。最终诊断:双肺癌,胸椎,腰椎骨转移,脊髓受压。多节段腰椎间盘突出。病人至肿瘤科治疗。









该病人以腰痛发病。既往无肿瘤病史。隐匿发病。腰椎骨破坏提示其他部位肿瘤。需进一步详细检查。有时很难发现原发病灶。对此类病人一定注意门诊及病房处置时不要漏诊。






