下载或打开 医联APP 查看完整评论
立即下载
打开APP
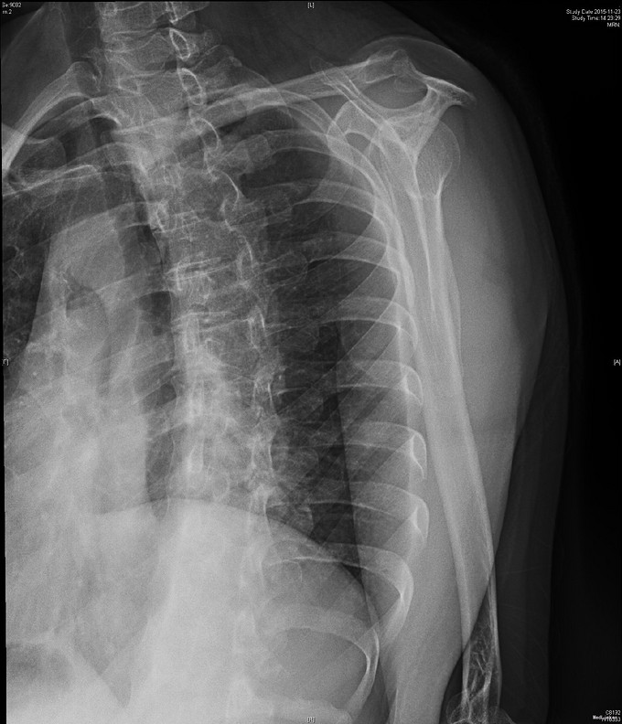
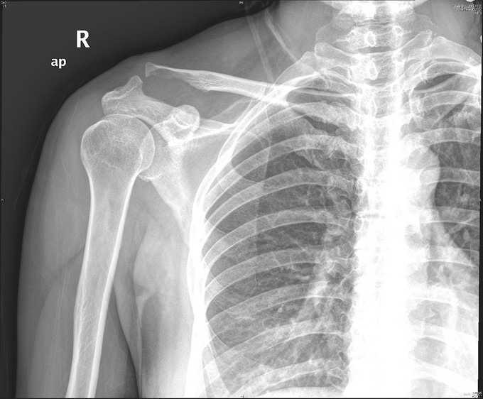
主诉:右肩疼痛5月,加重伴活动受限2月余。 现病史:患者,女性,45岁。5月前无明显诱因下出现右肩关节疼痛不适症状,偶伴有夜间痛,经休息等保守治疗后现疼痛症状略缓解。后患者至外院就诊,予口服药物等保守治疗,效果不佳,且有加重趋势。2月余前患者自觉右肩疼痛较前明显,伴活动受限。外院行MRI检查示:右肩关节内积液、右肩峰骨质增生、右肩袖肿胀、右肩盂唇信号异常。后患者来我院就诊,查右肩X线示:右肩峰前外侧见一骨性突起。门诊结合病史及体征,诊断“右肩峰下撞击综合症、右肩峰占位”收入院,行进一步治疗。
查体:右肩关节周围肌肉萎缩,右肩周压痛(+),右肩前方压痛(+),无明显肿胀。右肩关节主被动活动度明显受限,Hawking征(+),Neer征(+),Jobes征(-),Speed(+),O’brein征(-),Drop Arm(-)、熊抱试验(-)。外展肌力(Ⅳ)级。双上肢感觉正常。 辅查:见现病史,图片见下。


入院诊断:右肩峰下撞击综合症、右肩峰占位 治疗:右肩关节镜下肩峰成形,占位切除术

随访:患者术后感觉症状明显好转,肩关节活动度也较前改善。 讨论:该肿块性质尚无定论,仍需较长期的随访观察。请问各位专家,就目前的病史资料如何考虑该占位性质?