下载或打开 医联APP 查看完整评论
立即下载
打开APP
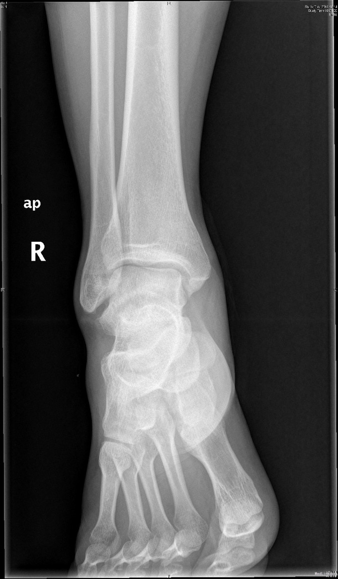
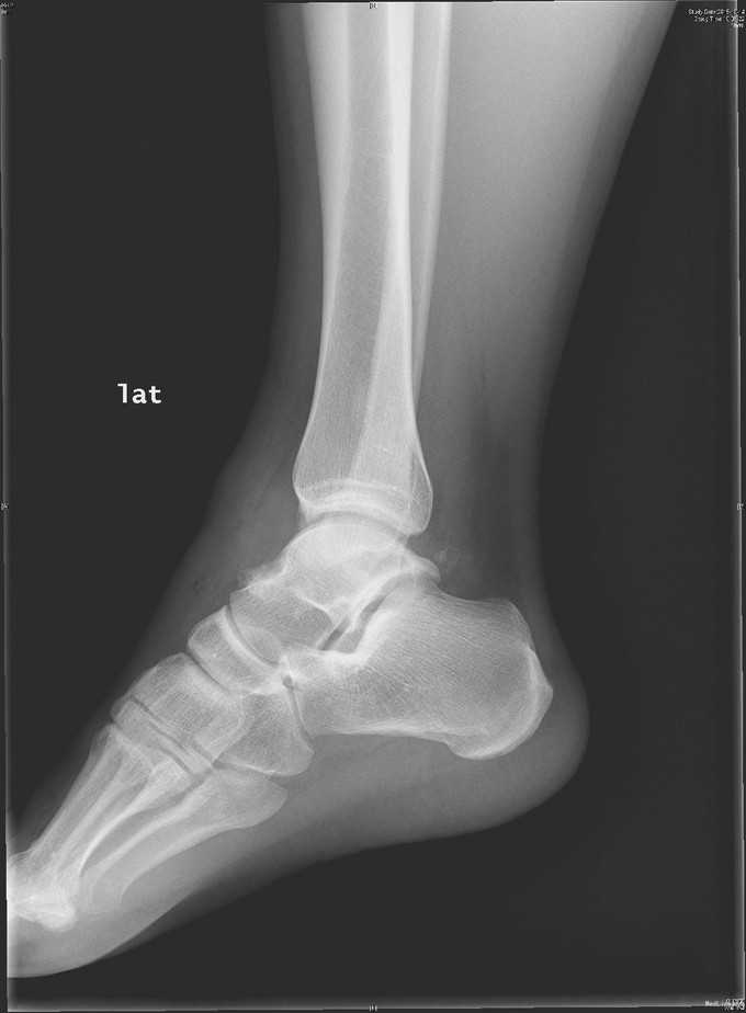
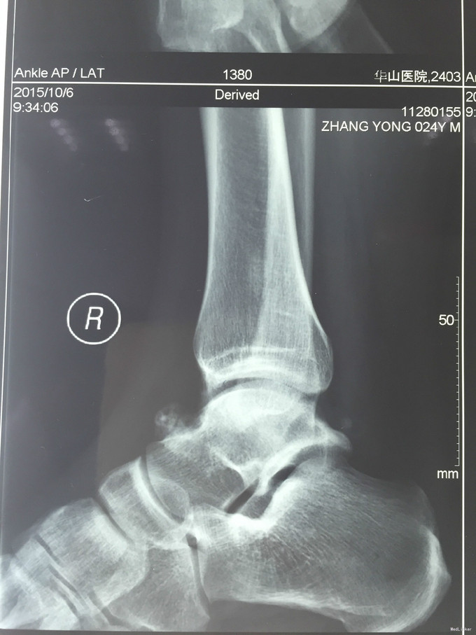
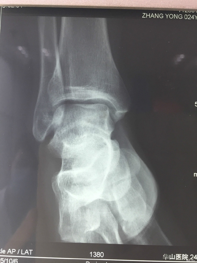
主诉:右踝扭伤后疼痛3年,伴活动受限2年。 现病史:患者男性,24岁。3年前,患者运动时扭伤右踝,无出血。患者当时至外院就诊,予消炎药物保守治疗,疼痛缓解。2年余前患者出现右踝活动受限,以背屈受限明显,伴右踝疼痛,无发热、盗汗,无其它关节痛,无晨僵等。2年来患者自觉右踝疼痛及活动受限症状逐渐加重。外院查MRI示:右胫骨远端前方骨质增生、右距骨前方骨性隆起、右踝关节内积液。我院查右踝X线示:右距骨前下方骨质密度增高、右胫骨前缘骨质增生。于我院就诊,门诊拟"右踝前方撞击综合征、右距骨骨软骨瘤、右踝滑膜炎"收入院。
查体:左下肢、双上肢肌力及活动度正常。右腓肠肌稍萎缩,右踝无明显肿胀。右踝关节跖屈、背屈受限,右踝内侧及前方关节间隙压痛(+)。ADT(-),下蹲提踵试验(+),内翻试验(-)。右腓肠肌肌力、肌张力、感觉正常。 辅查:见现病史。图片见下。
入院诊断:右踝前方撞击综合征、右距骨骨软骨瘤、右踝滑膜炎 治疗:入院完善术前检查后行右踝关节镜下滑膜清理+前方撞击成形+距骨骨软骨瘤切除。


随访:患者术后6周,踝关节活动度恢复正常,正常行走。 讨论:本病例系关节镜结合切开手术的范例,术中见踝关节内滑膜非常像色素沉着绒毛结节性滑膜炎,但未得到病理证实。还需要长期的随访来判断。