下载或打开 医联APP 查看完整评论
立即下载
打开APP
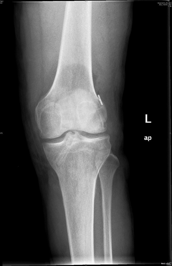
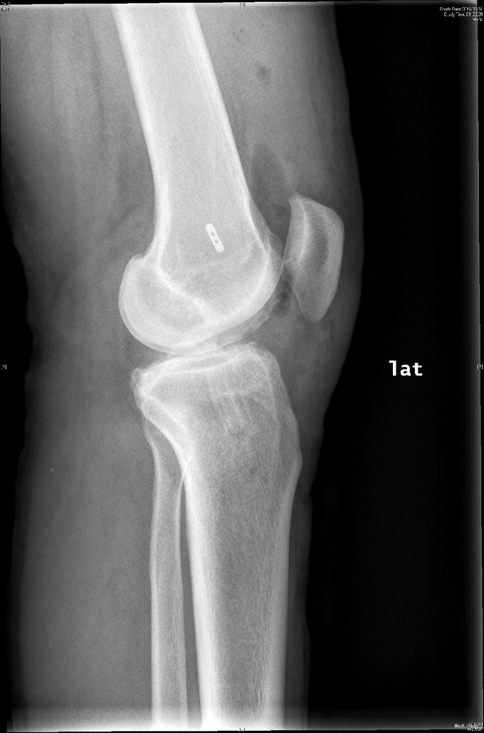
左膝扭伤后13年近1年反复不稳伴疼痛。 患者,男,39岁,13年前运动时扭伤左膝关节,当时未予重视,近1年出现左膝不稳伴疼痛,以上下楼、运动时明显,无法进行正常运动。遂于外院检查MRI(2015年3月)示:左膝关节退行性改变、左膝前交叉韧带信号异常、半月板信号异常、左膝关节内积液。为求进一步诊治来我门诊就诊,结合病史及体征,诊断“左膝半月板损伤、左膝前交叉韧带损伤”并收入院行进一步治疗。
右下肢、双上肢肌力及活动度正常。左股四头肌轻萎缩,肌力V-级。膝关节(无明显)肿胀,膝关节ROM受限:伸/屈:20度/110度,关节过伸过屈时无疼痛。髌骨活动度正常,髌周无压痛。浮髌试验(-),压、磨髌(+)。麦氏征(+),外侧关节间隙疼痛(+)。ADT(+),Lachman征(+),轴移试验(+),侧方应力试验(-)。双下肢无明显感觉异常。
入院诊断:左膝半月板损伤、左膝前交叉韧带损伤 治疗:入院后行左膝关节镜下外侧半月板成形+髁间窝成形+前交叉韧带自体肌腱重建手术。


随访:患者因为病程较长(十余年),术后3月膝关节才恢复正常活动度,行走正常。建议其术后1年再恢复正常运动。 讨论:该病例膝关节损伤时间较长,手术时关节已表现为提早退变(患者年龄并不大)。在前交叉韧带重建前,需要对其狭窄的髁间窝进行成形。术后恢复时间也较一般情况下延长。因此,建议关节出现病损应及时诊治。