35岁 男性 主诉:反复右下肢放射性疼痛麻木8个月,加重3天
生命体征平稳,痛苦表情, 专科查体: 右下肢强迫性屈髋屈膝位; L5/S1棘突间及右侧椎旁压痛,并向右下肢放射; 右小腿后侧及足背外侧皮肤感觉减弱; 右足拇跖屈肌力3级; 右侧直腿抬高试验5°(+), 右侧跟腱反射消失。 入院三大常规,生化指标等均正常范围





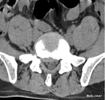
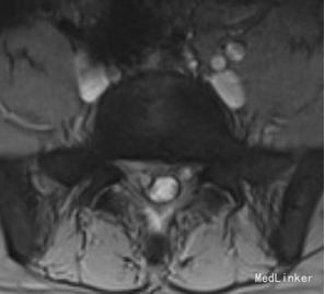
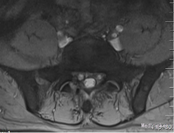
诊断:腰椎间盘突出症 (腰5/骶1髓核游离型) VAS评分:9分 ODI评分:96% 疼痛剧烈,右下肢难以伸直,坐卧不宁;给予常规脱水,激素,止痛等治疗无效;不同意手术,反复要求保守治疗。 保守治疗3天,患者疼痛仍无明显缓解,同意行手术治疗 手术方案:椎板间隙入路PELD 术后予以止痛,脱水,小剂量激素等治疗, 术后第二天:右下肢麻木疼痛明显缓解。查体:右小腿后侧及足背外侧皮肤触觉恢复;右足拇跖屈肌力4+级;右侧直腿抬高试验(-);右侧跟腱反射仍减弱。 术后第5天:出现右小腿及足底针刺样疼痛症状加重,麻木感,伴有右下肢间歇性抽搐,次数较频繁,以夜间为甚。查体:腰椎活动无明显受限,右小腿后面及右足背外侧触痛明显;双下肢屈伸肌力、肌张力基本正常;右侧直腿抬高试验(-),右侧跟腱反射仍减弱。 予以加大NSAID及地米治疗,效果不明显,夜间疼痛难以入睡。复查腰椎MRI,未见髓核再脱出,减压彻底 诊断:考虑右侧骶1神经根神经病理性疼痛 治疗: 普瑞巴林 75mg Bid;神经妥乐平 2# Bid; 阿米替林 25mg Bid 外加神经营养治疗 治疗1周后,症状明显缓解


术后10周:右侧臀部及右下肢烧灼样疼痛及皮肤触痛缓解,右下肢间歇性抽搐消失,偶感腰背部酸痛。查体:右足背外侧仍稍许麻木,无痛觉过敏,双下肢肌力正常,双直腿抬高试验(-).