下载或打开 医联APP 查看完整评论
立即下载
打开APP
主诉:要求治疗左下后牙 病史:患牙曾于外院治疗,具体过程不详
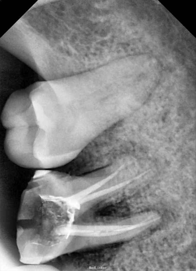
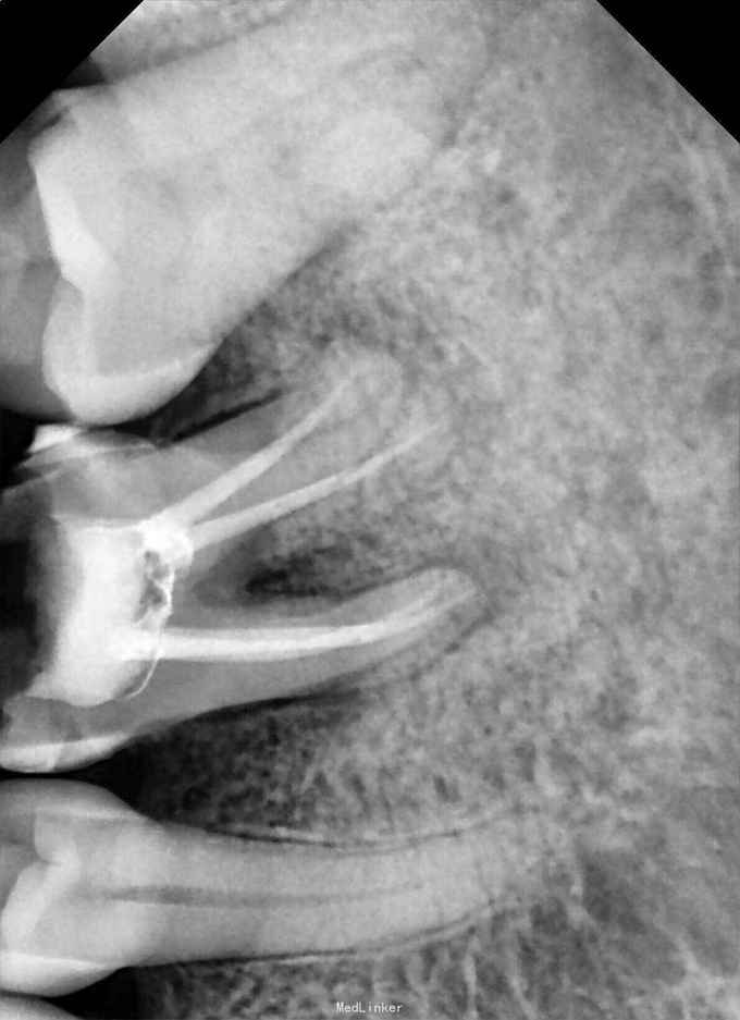
检查:36牙残冠,开髓洞型,叩(+),松(-) 辅查:36牙远中根管口有异物,根尖暗影

诊断:36牙慢性根尖周炎 治疗:36牙探及根管口④,远颊根管口阻塞,选用尖头金刚砂车针去除部分髓底,暴露断针头部,超声(P尖)逆时针振荡,直到断针松动,然后用血管钳取出断针,疏通根管,机扩,充填,术后1个月复查,根尖暗影范围略有缩小



器械分离是根管治疗过程中的常见并发症,位于根管上段的比较容易取出,不过要小心谨慎,以防底穿、根管侧穿,不锈钢器械能够传递超声,分离后使用超声在器械周围逆时针旋转振荡就会慢慢变松(拆金属桩同样如此,断针就是一颗袖珍版的金属桩),但镍钛器械用超声振荡会产热,发生二次器械分离,应优先建立根管旁路