下载或打开 医联APP 查看完整评论
立即下载
打开APP
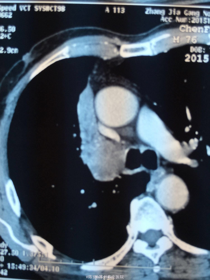
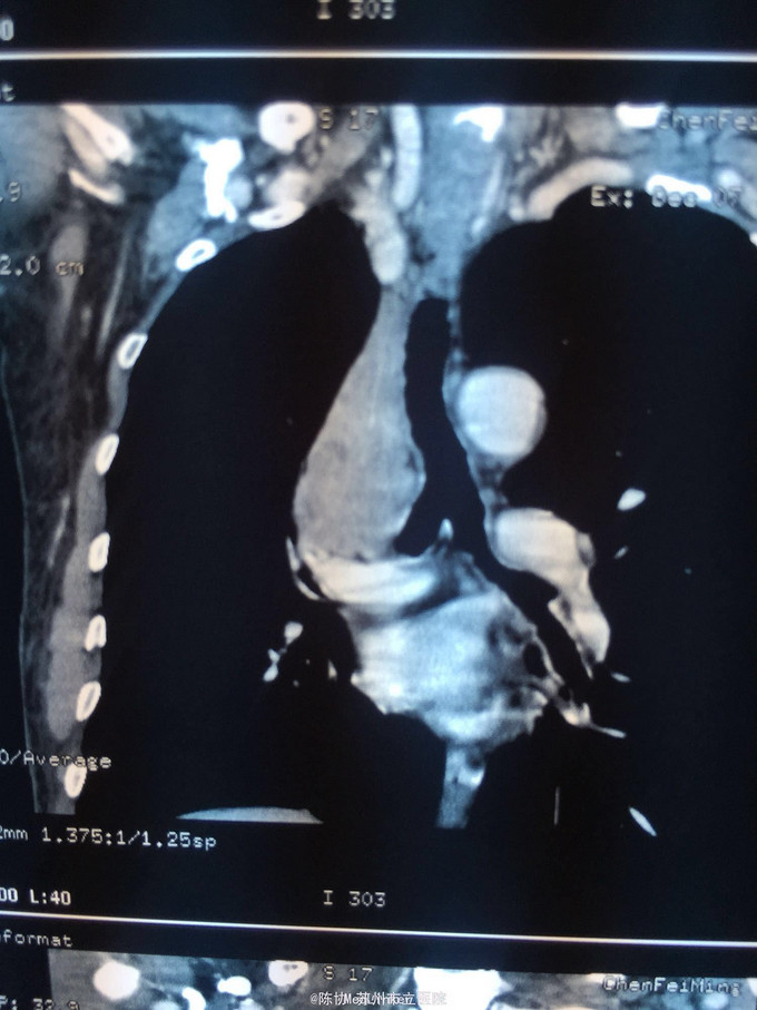
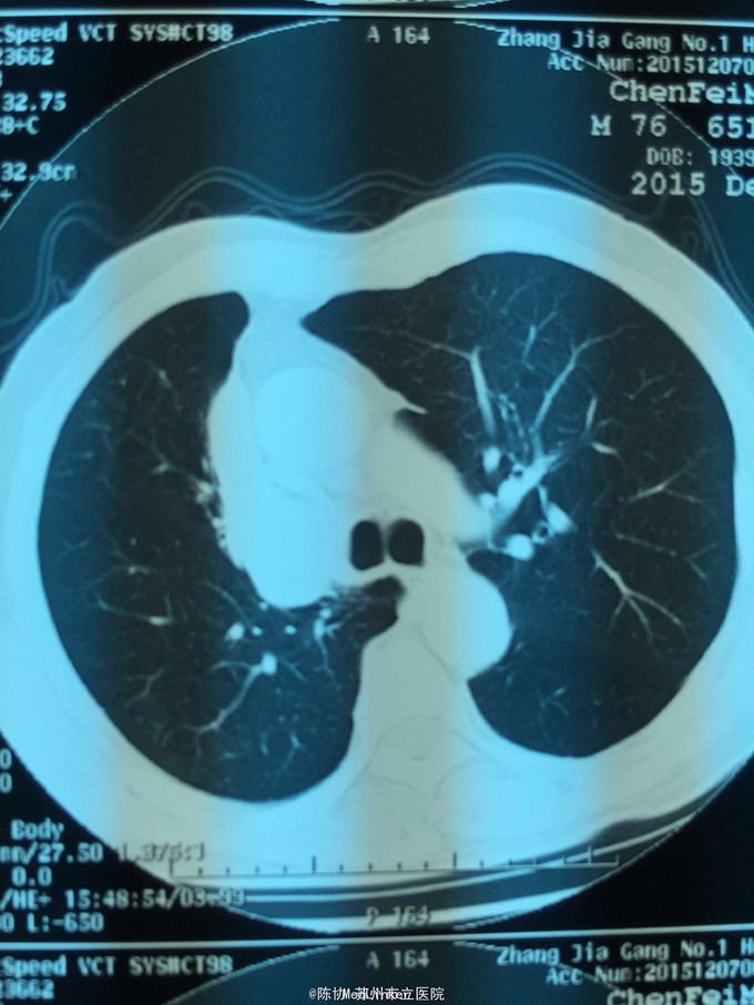
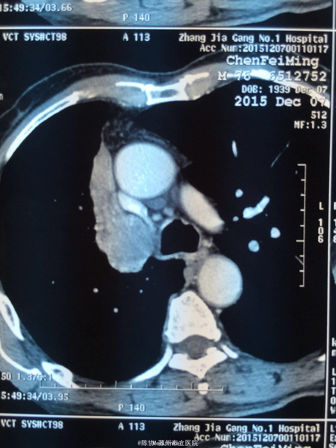
主诉:体检发现右上肺不张半月 77岁男,半月前体检发现右上肺不张,无不适。无消瘦,无咳血,无干咳。去年4月右上肺炎,抗生素治愈,当时CT未见肺肿块。入院支气管镜发现右上支气管开口组织增厚闭塞,开口近侧有隆起约3x3平方毫米,取活检5块病理示中度非典型增生。CT提示在右侧主支气管外侧有30x30平方毫米块影,压迫右上支气管开口处。三大常规和生化检查正常,肿瘤指标正常,TAP正常。









右侧中央型肺癌 重做支气管镜,精于定位找到病症组织,获得病理诊断来指导治疗。 胸外科医生不建议手术,理由是肿瘤位置靠近主支气管和气管,袖状切除不一定看干净。 请问正确的诊断,和比较合理的治疗方法是什么?求助大家思考评论







