下载或打开 医联APP 查看完整评论
立即下载
打开APP
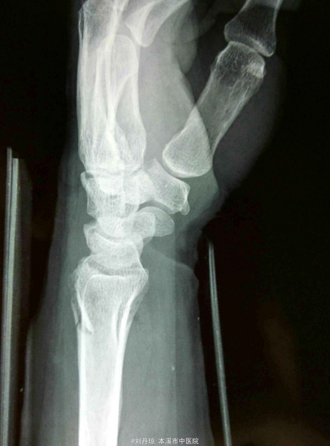
主诉:左腕刺痛,活动受限3小时。 病史: 患者3小时前不慎摔伤腕,伤后左腕刺痛,活动受限。遂来我院门诊求治。





诊断: 左colles骨折 治疗:手法整复,夹板固定,中药外用,接骨续筋中药口服。
随访|年。摔倒时腕关节极度背伸,使前臂旋前的扭力向前运动,导致此型骨折。colles 骨折占前臂骨折的75%,多见于中老年女性。colles骨折是最常见的骨折。典型表现为餐叉状畸形。主要包括然后远端向背侧移位和倾斜,桡偏,桡骨短缩,骨折常涉及桡腕关节和下尺桡关节。尺骨茎突骨折也是常见的合并损伤。