打开应用

面肌Todd瘫痪

翟医师   中国医科大学附属盛京医院
部分性癫痫 瘫痪 癫痫

主诉 病史

患者,男,57岁。有糖尿病史,血糖控制不佳,在内分泌科住院时出现右侧面部阵发性抽搐,意识清楚,2分钟左右好转。

查体 辅查

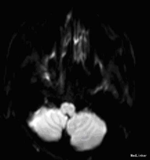
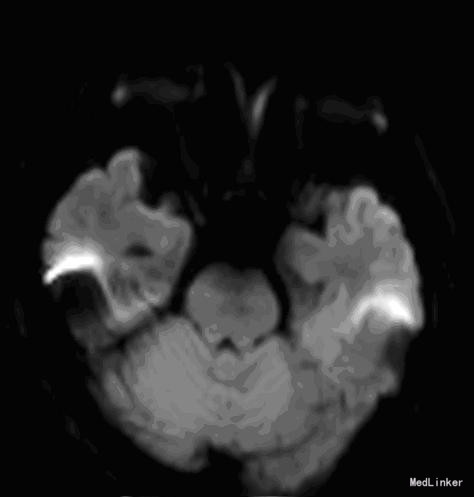
查体见右侧中枢性面瘫,余神经科查体正常。考虑脑内病变,行头MRI无新发梗塞。

诊断 处理

予得理多口服后很快好转。考虑患者因血糖高引起部分性癫痫发作,发作后出现Todd瘫痪。

随访 讨论

经控制血糖及对症抗癫痫治疗后好转。

发布于 15-12-11 19:08

10 个评论

发送