下载或打开 医联APP 查看完整评论
立即下载
打开APP
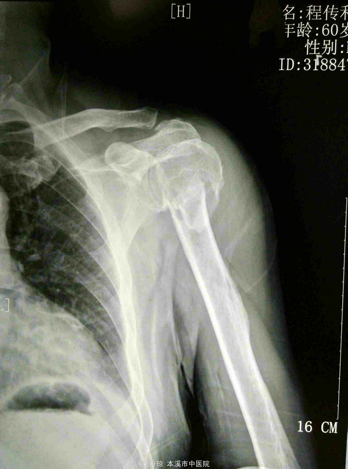
患者男60岁。主诉:左肩刺痛,活动受限2小时。 病史:患者2小时前散步时不慎摔倒,左肩刺痛, 活动受限。伤后由朋友送入我院。
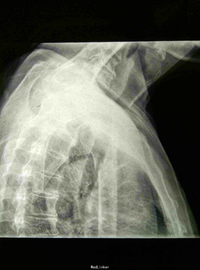
左肩部畸形、肿胀明显,外科颈部压痛阳性,左肩部功能障碍。DR: 左肱骨近端粉碎骨折,分解为四部分,移位明显。





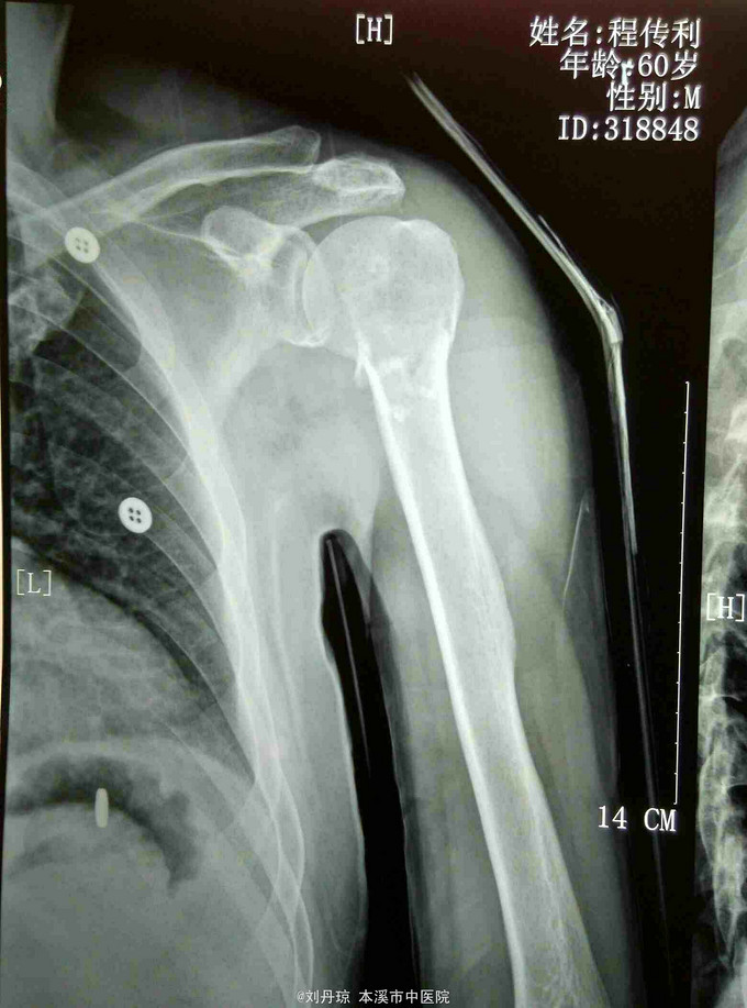
诊断:左肱骨近端粉碎骨折 治疗:手法整复,夹板固定。接骨丹口服。
随访1年。此四部分骨折,肱骨近端四个解剖部分完全分离,肱骨头移向后方,肱骨头血运破坏严重,容易发生缺血坏死。

