下载或打开 医联APP 查看完整评论
立即下载
打开APP
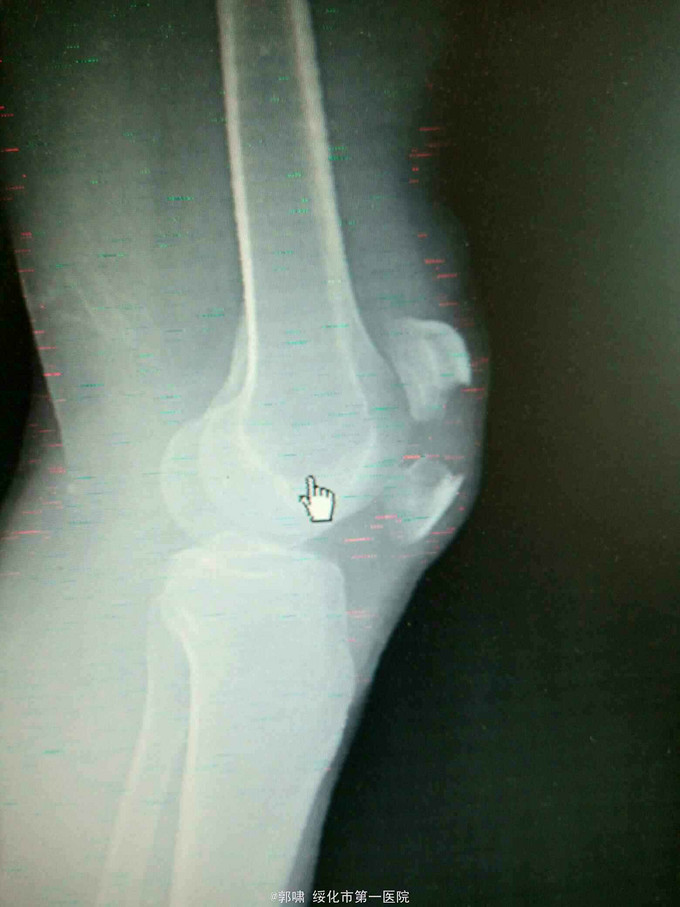
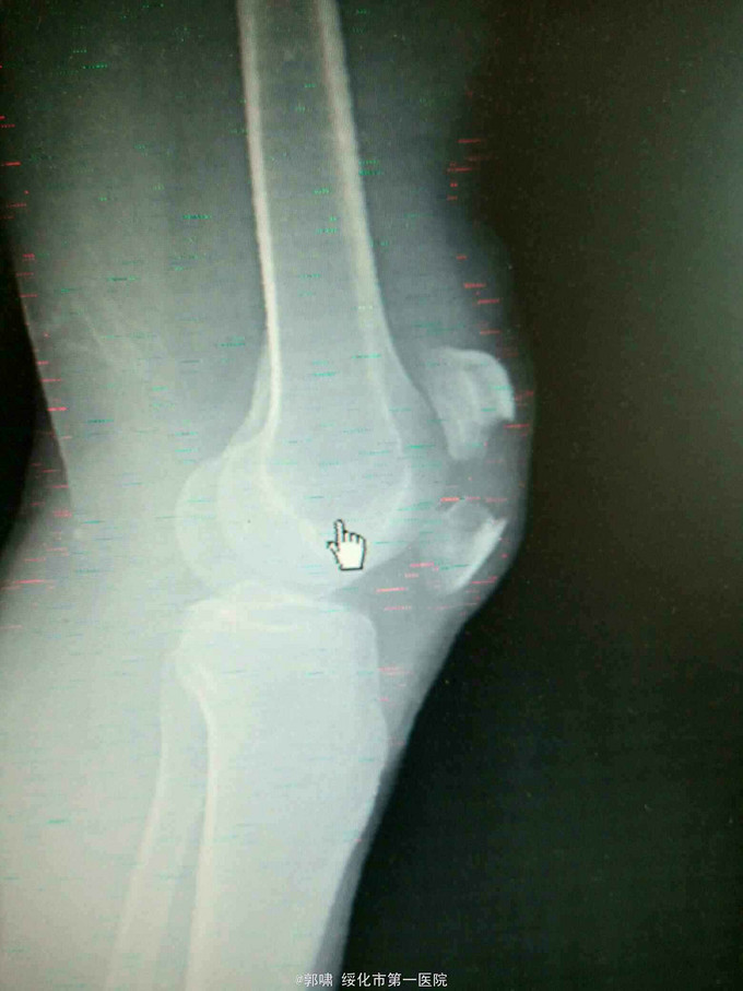
左膝关节摔伤,肿胀,畸形,活动受限一小时。收入院。患者于一小时前滑倒摔伤。当即倒地,左膝关节肿胀,畸形不能行走。门诊拍片示:左膝关节髌骨骨折,断端移位。门诊以左髌骨骨折收入院。


左膝关节肿胀,局部畸形,不能下地行走。浮髌试验阳性。拍片示:左髌骨骨折。


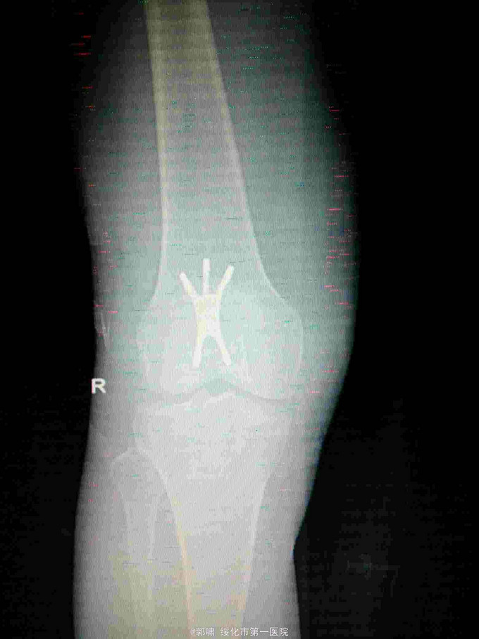
诊断:左髌骨骨折。立即予以腰麻下行切开复位内固定术。术中复位骨折,缝合筋膜,冰水浸泡髌骨爪约10分钟。待髌骨爪变软。选取合适大小的髌骨爪。应用记忆合金髌骨爪内固定。立即用40°温盐水热敷局部。使记忆合金加速抓紧。环抱。缝合爪齿二道,防止脱落。缝合关节囊,韧带组织。术毕。


应用记忆合金髌骨爪内固定髌骨骨折。手术时间基本在20----30分钟内都可以完成。局部损伤小。固定牢靠,确实。患者二个月就可以下地负重活动。具体手术技巧。一是髌骨爪提前用冰盐水侵泡10分钟左右。待记忆合金变软即可使用。二。固定牢靠后立即用40°温盐水热敷。使其快速抓紧。三,缝合爪齿,防脱。四如有粉碎,小的骨块可以缝合筋膜固定。有大骨块,最好环扎钢丝,或穿针固定,有时穿骨隧道钢丝捆扎。效果也不错。只要做到以上几点。安全无忧了!以下是以前做的片子。可以看一看。








