下载或打开 医联APP 查看完整评论
立即下载
打开APP
中年男性患者,44岁,跌倒致左足跟疼痛、活动受限4小时。患者4小时前不慎从3米高梯子上摔落,左足跟先着地,致左足跟肿胀、疼痛,伴活动受限,无伤口流血,无恶心、呕吐,无胸闷、气促,无昏迷等不适。遂急诊送我院就诊,X片示:左跟骨骨折,遂拟“左跟骨骨折”收入我科。既往体健。
左足跟淤血肿胀明显,无明显畸形,皮肤完整,局部压痛明显,可扪及骨擦感,纵向叩击痛阳性,足趾活动正常,末梢血运、感觉正常。左跟骨X片示:左跟骨粉碎性骨折,左足部CT示:左侧跟骨粉碎性骨折,累及跟距关节面。




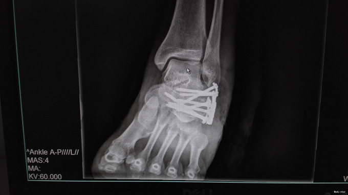
左跟骨粉碎性骨折,排除手术禁忌症后行左跟骨粉碎性骨折切开复位内固定术。
中年男性患者,因“跌倒致左足跟部疼痛、活动受限4小时”入院,左跟骨X片及左足部CT提示:左跟骨粉碎性骨折,累及跟距关节面。结合临床症状、体征及影像学检查,诊断左跟骨粉碎性骨折,且累及关节面,手术指征明确,排除手术禁忌后行切开复位内固定术,术后复查X片示对位良好。出院1月后复查,1月内避免负重。

