下载或打开 医联APP 查看完整评论
立即下载
打开APP
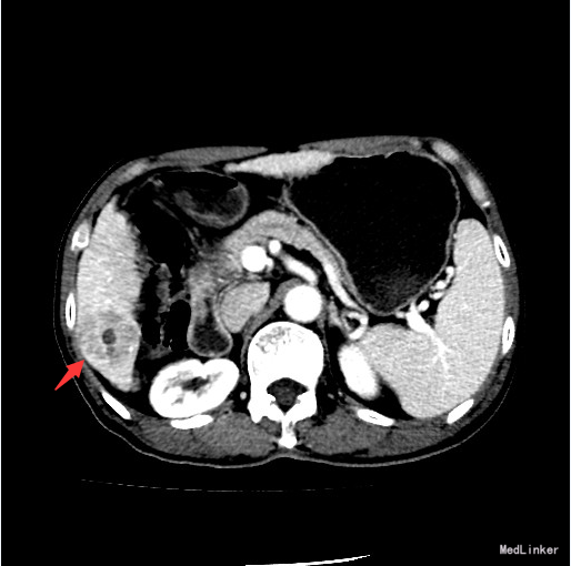
主诉:发现肝占位性病变2月 病史:患者2月前因“呕血“就诊于当地医院,查MR示:肝脏右叶后下段团块影,直径约3.6cm,考虑肝癌;肝硬化、脾大,多量腹水,考虑门静脉高压。予止血、输白蛋白、补液治疗后出院。现为求进一步诊治收入我科。
查体:腹部平坦,腹壁静脉无显露,腹壁柔,无压痛,无反跳痛。 辅查:腹部CT提示:肝S6段结节型肝癌。结节型肝硬化;门脉高压,食管胃底静脉、胃管状静脉、脾静脉曲张;脾稍大;少量腹水。




诊断:结节型肝癌 治疗:入院后完善相关检查,于全麻下行肝S6段肝癌切除术,术程顺利,术后予加强护肝、抗炎等治疗。
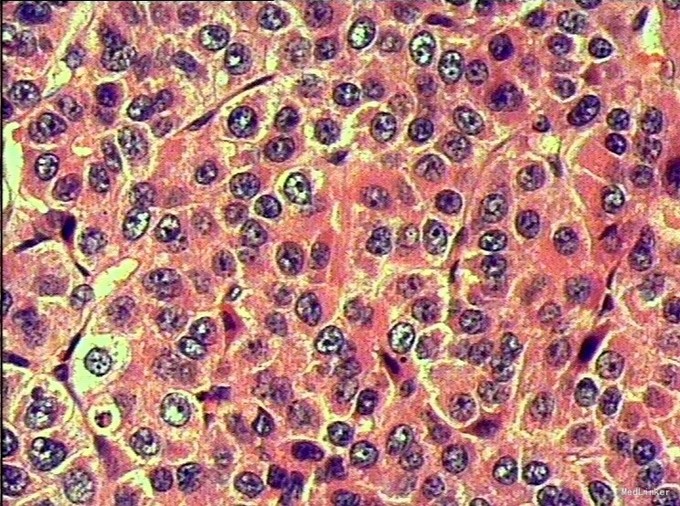
随访:(肝S6段肿物)形态结合免疫组化,符合高~中分化肝细胞性肝癌,未见确切脉管内癌栓形成;“切缘”未见癌;周围肝组织呈结节性肝硬化改变。 讨论: 结节型肝癌直癌结节直径小于5cm的肝细胞癌,影像表现呈“快进快出”表现。结节型肝癌的治疗仍以手术切除为首选,早期切除是提高生存率的关键,肿瘤越小,五年生存率越高。一般诊断明确,病变局限于一叶或半肝者,且肝功能代偿尚好,凝血酶时间不低于50%者,为手术切除适应症。若手术切除困难或者肝功能较差者,可以选择消融术或者肝动脉化疗栓塞术(TACE)等微创治疗。


