下载或打开 医联APP 查看完整评论
立即下载
打开APP
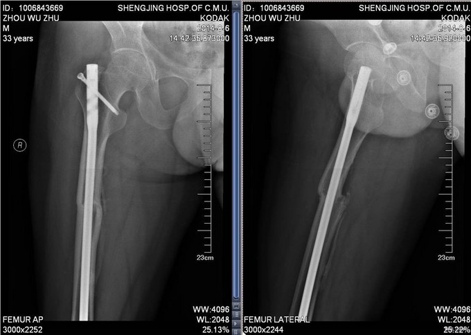
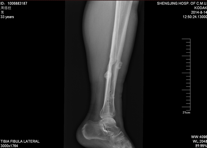
患者2012年8月发生车祸,致右股骨及左胫骨骨折,后于我院行右股骨骨折闭合复位内固定术,左胫骨骨折闭合复位内固定术,手术顺利,安返病房,术后康复锻炼,定期复查,近期复出X线,提示骨折愈合良好,今日门诊以“右股骨骨折,左胫骨骨折术后”为主要诊断收入我科




患者步入病房,神志清,右大腿压痛叩击痛(—),左小腿压痛叩击痛(—)。双下肢等长。双下肢感觉运动均正常。




入院后完善检查,查无手术禁忌症后右股骨干骨折术后内固定物取出术,左胫骨骨折术后内固定物出去术,术后第二天自动退院。
