打开应用

27牙髓腔钙化后根管治疗

龚医师   四川大学华西口腔医院
慢性牙髓炎 牙髓炎

主诉 病史

主诉:院内转诊要求行27牙根管治疗。 现病史:患者于本院修复科检查后制定了全口的修复方案,建议至我科行27牙根管治疗及其他牙治疗。患者自述左上后牙无冷热刺激痛、自发痛、夜间痛等症状。 既往史:患者否认高血压、糖尿病等疾病,否认肝炎等传染性疾病,否认药物过敏史。

查体 辅查

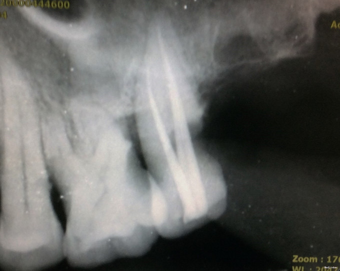
检查:27牙远中邻he面见大面积龋坏组织,质软,探及穿髓孔,探(-),叩(+-),根尖区扪(+-);松动I度;颊侧牙槽粘膜及牙龈未见明显窦道。28牙于我科就诊时已拔除。 全景片示27牙远中低密度影,累及髓腔;无清晰根管影像;牙槽嵴高度正常;牙周膜间隙正常;根尖周组织未见低密度影。

诊断 处理

诊断:27牙慢性牙髓炎 治疗方案: 1、27牙根管治疗+充填修复+冠修复 2、27牙显微根尖外科手术 3、27牙干髓术 4、46牙择期治疗 经与患者详细介绍每种治疗方案的治疗经过、费用及预后,患者选择方案1。 治疗经过: 初诊:因患者咽反射强,无法上橡皮障。27牙涡轮机去龋,未去净龋坏时见穿髓孔,但因髓腔钙化及解剖牙冠长,不能探及明显髓腔结构;ET20清理髓腔内钙化,探及3根管口。其中近颊根根管口探痛明显,封“三聚甲醛”;CAVITON暂封。 首次复诊:27牙去净暂封,根测仪测定根管长度,近颊根19mm,远颊根19mm,腭根20mm;机用镍钛器械Protaper清扩至#2506锥度,腭根清扩至#3504锥度,示尖到位;超声荡洗,次氯酸钠冲洗,纸尖吸干,根管内封氢氧化钙,髓腔置干棉球,CAVITON暂封。 二次复诊:27牙去暂封,去棉球,超声荡洗根管,次氯酸钠冲洗,再次测量根管长度,纸尖吸干,AH糊剂+大锥度牙胶尖封闭根尖段,热牙胶封闭根中上段,拍片示根充到位;腭根预备纤维桩道,冲洗,干燥,粘接#13纤维桩;涂布粘接剂,流体树脂垫底,3M纳米树脂充填修复,调he,抛光。

随访 讨论

1、从全景片中可见,该牙龋坏已与髓腔相通,髓腔较为明显。但开髓时发现,髓腔内几乎均钙化,髓腔空间及其狭小。且该牙解剖牙冠长,且为上颌最后颗磨牙,若对牙体解剖没有足够地掌握,没有充足的经验,非常容易开髓开偏或找不到根管口,或有遗漏根管,因为近颊根根管口被钙化的牙体组织完全覆盖。此种情况下,若使用涡轮机企图去除牙体组织后寻找根管口非常困难,若在显微镜下使用超声则为最佳选择。 2、该牙虽然冠的上部牙体组织无去坏,但仍然去除掉了。虽然对牙齿的创伤较大,但若不去除这些无机釉,一来可能龋坏无法去除干净,二来抗力形不足,容易折断。 3、该牙髓腔内牙髓完全坏死,但各个根管内均有较好牙髓活力。说明牙髓的坏死是一个渐进的过程,即便是髓腔及根管开始钙化,牙髓也可有活力。

发布于 15-11-30 22:22

8 个评论

发送