男,44岁,因“反复上腹部隐痛不适1月余,进行性身目黄染1周”入院。患者自诉1月前出现无明显诱因上腹部隐痛不适,呈持续性,可耐受,遂就诊于北滘医院,完善相关检查:CA199>10000u/ml,腹部CT示:1.胰头区占位病变,2.腹膜后见多个淋巴结转移,3.肝内外胆管扩张。考虑“胰头癌”可能性大。我院腹部CT会诊结果如下:胰头肿物,考虑胰头癌,肿瘤侵犯肠系膜上静脉。1周前,患者出现身目黄染,且呈进行性加重趋势,遂患者今为求进一步诊治,前来我院就诊,患者至起病来,精神、睡眠及食纳尚可,大小便正常,体征无明显改变。
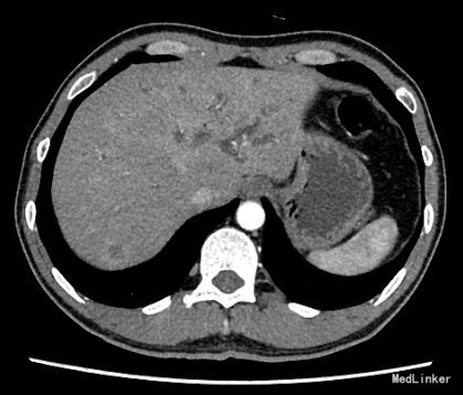
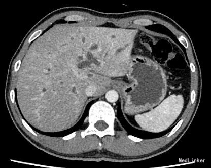
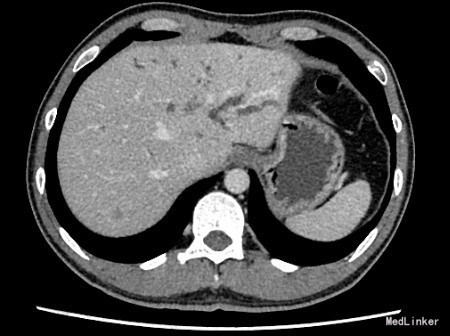
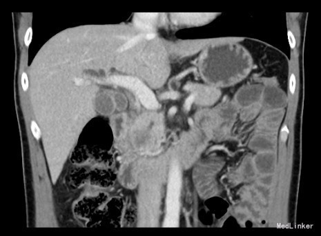
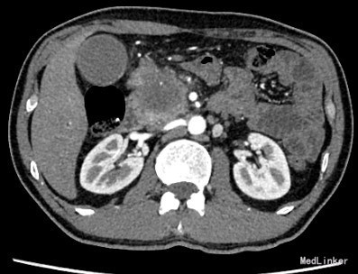
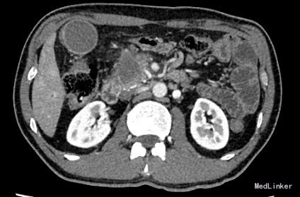
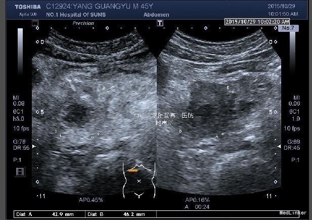
查体:身目重度黄染,上腹部轻压痛; 辅助检查: 白细胞WBC:10.96; 血红蛋白Hb:145g/L;血小板PLT:241x10^9/L 丙氨酸氨基转移酶ALT 357 U/L ;天冬氨酸氨基转移酶AST 191 U/L;白蛋白ALB 40.9 g/L ;总胆红素TBIL 151.2 umol/L;直接胆红素DBIL 85.8 umol/L 肿瘤标记物: 甲胎蛋白(AFP) 5.00 ug/L 0.00 - 20.00 ;癌胚抗原(CEA) 9.19 ug/L ↑ 0.00 - 5.00 ;CA125 71.00 U/mL ↑ 0.00 - 35.00 鳞癌抗原(SCC) 0.90 ug/L 0.00 - 1.50 ;CA19-9 〉12000.00 U/mL CT:平扫胰体尾部萎缩,胰头区不规则肿大,局部可见类圆形软组织肿块影,大小约44×43mm,边界模糊,内部密度不均,其内可见斑点状钙化灶,并见更低密度区。增强扫描正常胰腺组织明显强化而肿物轻度强化,显示较清楚;强化不均匀,中央有低密度坏死区。肿块与十二直肠降段分界不清,病变包绕肠系膜上静脉,血管见充盈缺损影,胰头周围及腹膜后见肿大的淋巴结影。、、、 1.胰头癌,侵犯十二指肠降段及肠系膜上静脉,胰周及腹膜后多发淋巴结轻度肿大。 2.肝S7病灶,高度怀疑转移瘤。 超声造影提:胰头病变:考虑胰头Ca。 肝S7病变:考虑MLC。 肝内外胆管弥漫性扩张。胆囊壁增厚。腹膜后淋巴结肿大。脾脏超声检查未见异常。








诊断:胰腺癌合并肝转移 治疗: 肝转移瘤切除、胰头癌纳米刀治疗、胆囊空肠Roux-Y吻合术

胰腺癌恶性程度高,该病例本没有手术的指征,但近两年纳米刀技术的引进和开展给了该类晚期肿瘤患者一丝治疗的希望,远期疗效尚未可知,希望能够给患者确实带来生存受益。