下载或打开 医联APP 查看完整评论
立即下载
打开APP
患者男,41岁。因双足跟、足底角化过度性红斑、皲裂伴痒4个月余来我科就诊。4个月前,双足跟处无明显诱因出现红斑、皲裂,痒痛不适,皮损渐扩大至整个足跟,以右足跟明显,表现为角化过度性红斑,肥厚,少许鳞屑,院外查真菌镜检阳性,诊断为足癣,给予曲安奈德益康唑软膏、萘替芬酮康唑软膏,治疗1个月后瘙痒明显减轻,皲裂好转,但双足跟红斑角化仍较明显,给予曲安内奈德益康唑软膏:复方苯甲酸软膏:15%尿素霜封包治疗每天1次,2周后红斑变暗,角化过度仍明显,继续封包治疗2周后,痒感加重。既往体健,无不良嗜好,家族中无类似病例。
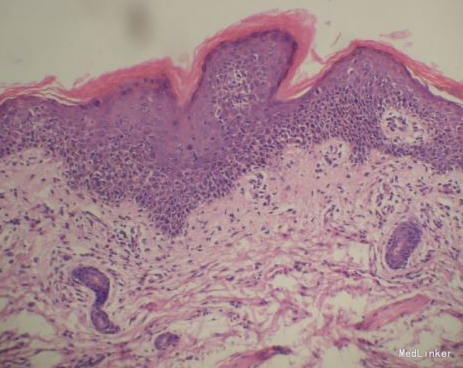
体检:患者一般情况尚可,各系统检查无异常。皮肤科检查:见双足跟、足底处角化过度性边界不清的红斑伴少许脱屑,有数条与皮纹方向一致的皲裂,无脓疱,无明显薄膜和点状出血现象,不伴关节的红肿热痛及甲损害。血常规、肝功能均正常;足底皮损真菌镜检阳性,快速血浆反应素环状卡片试验(RPR)阴性。足跟处皮损组织病理检查:表皮角化过度、角化不全,角质层下出血,颗粒层消失,棘层水肿、海绵形成,淋巴细胞移入表皮,真皮乳头层内血管扩张、红细胞外渗,血管周围淋巴细胞浸润。


诊断:掌跖部寻常性银屑病,足癣。治疗:给予维生素A胶囊,雷公藤多甙片,郁金银屑片,每天3次口服,曲安内奈德益康唑软膏、复方苯甲酸软膏外用;氧化锌硼酸软膏封包,3周后皮损明显好转,随访中。
寻常性银屑病性红斑伴脱屑、皲裂是一种慢性反复发作的红斑鳞屑性皮肤病,多泛发全身,掌跖部位可受累。仅累及掌跖部位或合并其他皮肤病时因临床表现不典型易被误诊或漏诊。本病需与掌跖角化病、掌跖脓疱病、角化性湿疹、掌跖扁平苔藓及二期梅毒疹等鉴别。该类型的银屑病应该日常如何防护来减少复发次数?请大家献计献策。