下载或打开 医联APP 查看完整评论
立即下载
打开APP
患者男,45岁 主诉:右下肢膝关节外侧皮肤肿物2个月 病史:患者40年前右下肢被火烧伤,经当地医院植皮后,遗留大量疤痕及色素脱失斑,2个月前无明显诱因右下肢膝关节外侧皮肤出现皮肤硬结,逐渐增大,无明显痒痛感。



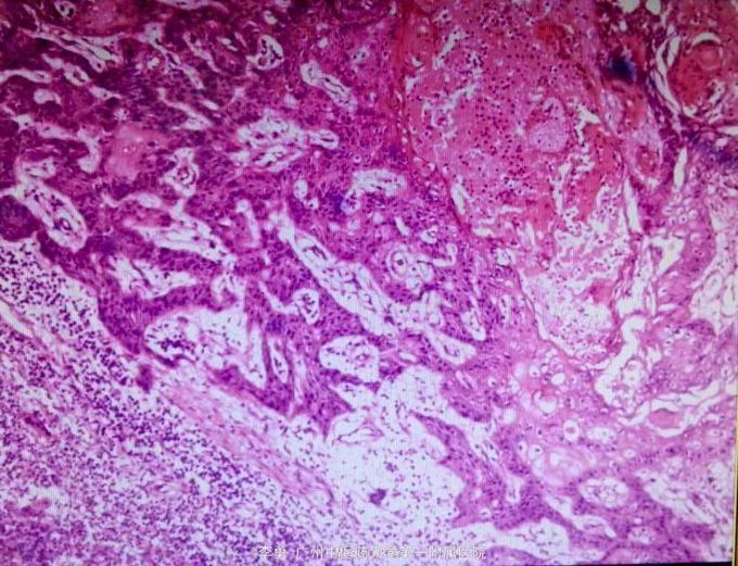
查体:右下肢膝关节外侧皮肤肿物,15*6*3大小,质软,呈菜花状,表面黄白色分泌物,肤温正常,患侧肢体远端血运正常。 辅查:肿物病理活检提示鳞状细胞癌。

诊断:鳞状细胞癌 处理:外科手术切除肿物。
本患者目前尚未发现转移,要求患者定期随访。 鳞状细胞癌又名表皮癌,是发生于表皮或附属器细胞的一种恶性肿瘤,癌细胞有不同程度的角化。多见于有鳞状上皮覆盖的部位,如皮肤、口腔、唇、食管、子宫颈、阴道等处。此外,有些部位如支气管、膀胱、肾盂等处虽无鳞状上皮覆盖,但可通过鳞状上皮化生而形成鳞状细胞癌。