患者女,14 岁,因“腹部膨大伴腹痛、便秘 4 个月”入院。无月经初潮。1 个月前自觉触及腹部包块,但未予重视。
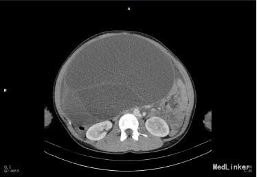
体格检查:腹部膨胧,触及骨盆延至剑突的质硬包块。 腹部 B 超提示骨盆至剑突巨大多房性囊性包块。CT 可见包块几乎占据整个盆腹腔。但 B 超和 CT 均不能判断这个巨大包块起源于何处。 实验室检查:CA-199:237 U/ml (0-33U/ml),CA-125:144U/ml(0-16.3U/ml),CEA、AFP、HCG 均在正常范围内。血常规、肝肾功能指标未见明显异常。

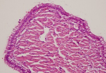
行正中切口剖腹探查术,术中见包块表面光滑,来源于左侧卵巢,右侧卵巢外观正常,探查骨盆,腹壁,横膈、腹膜未见种植转移灶,腹腔无游离积液。 因包块巨大,同侧几乎无正常卵巢组织,遂行左侧输卵管卵巢切除术,术后见包块大小 40*25*25cm,重量 9kg,大体可见包块表面光滑,灰白色,表面血管增生丰富。巨检:肿瘤呈多房性,囊内含粘稠液体。组织学检查见囊壁组织内衬粘液上皮,未见乳头样生长。 术后诊断为:卵巢粘液性囊腺瘤。


术后三天复查 CA-125:140U/ml(0-16.3U/ml),CA 19-9:10.4U/ml (0-33U/ml),术后随访第 3 个月时 CA-125 降至正常范围内。 三分之一经前期少女卵巢包块为非肿瘤性囊肿,即使呈肿瘤样生长的肿块也只有 14% 是上皮来源的,上皮性肿瘤中 75% 都是浆液性囊腺瘤,只有 25% 是粘液性囊腺瘤。近日土耳其 Biçer 医生报道了 1 例罕见病例:14 岁经前期少女,腹内现 9 公斤重的卵巢粘液性囊腺瘤, 腹部包块需要鉴别的疾病很多,本例几乎占据整个盆腹腔的包块很难通过 B 超、CT 等影响学检查确定其组织来源,完善的术前准备和早期及时的手术是改善患者症状和预后的恰当处理手段,当然术式的选择及手术过程中对肿瘤完整性的保护也是影响复发和预后的重要因素。
