下载或打开 医联APP 查看完整评论
立即下载
打开APP
颈肩疼痛1年,加重伴左上肢疼痛、行走不稳1个月 患者1年前无明显诱因出现颈肩部疼痛不适,不伴四肢放射性疼痛、无力,劳累后加重,平卧休息可缓解。1个月前无明显诱因出现颈部疼痛加重,伴左上肢放射性疼痛,行走不稳、双足踩棉感,无高热、寒战,无低热、盗汗。






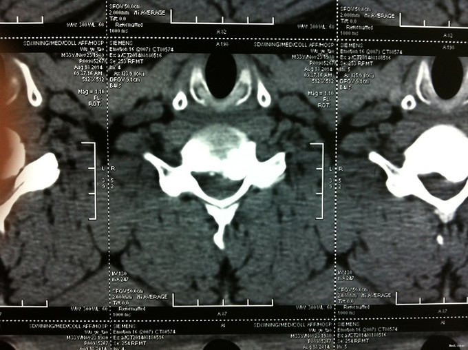
查体:左侧前臂及手感觉减退,右侧正常,左侧伸腕、伸肘肌肌力4级,右侧伸腕、伸肘肌肌肌力4-5级,双侧霍夫曼综合征阳性,双下肢肌张力高,膝腱反射+++,巴氏征阳性,辅助检查: X-ray:劲椎退行性变 CT及MR:颈椎间盘突出,腰5/6,6/7间盘突出并骨赘形成
诊断:脊髓型颈椎病 处理: 1、完善相关辅助检查,明确诊断,有无手术指证; 2、全麻下行颈椎前路减压,颈椎间盘突出并骨赘形成,行颈6椎体次全切,减压较充分。


随访 1、应常规术后1个月、3个月、半年随访; 2、术后1个月,双下肢肌张力减低,行走不稳较前改善,继续服用营养神经药物。 讨论:1、颈椎病颈椎手术前路减压,两个节段椎间融合内固定术还是椎体次全切术?