下载或打开 医联APP 查看完整评论
立即下载
打开APP
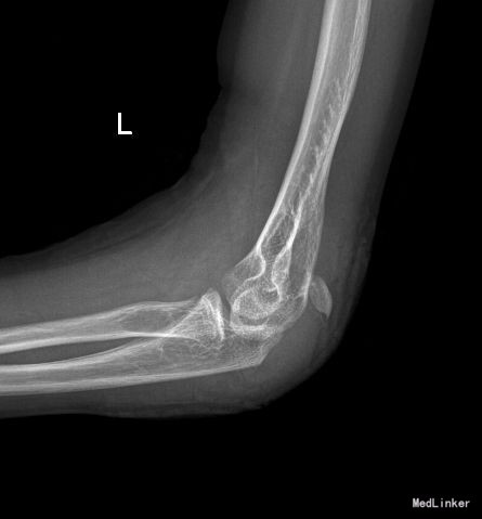
主 诉: 摔倒致左肘部疼痛伴活动受限7小时余。 现病史:约7小时前患者骑自行车时不慎摔倒,左上肢着地,当即出现左肘部疼痛伴活动受限,随即至当地医院行X线片检查示:左侧尺骨鹰嘴骨折。当时给予膏药外用及左上肢绷带悬吊,患者为求进一步诊治遂来我院就诊,门诊以“左侧尺骨鹰嘴骨折”为诊断收入我科,发病以来,神志清楚,精神尚可,无恶寒发热,饮食、大小便正常,睡眠可,体重无明显变化。


专科检查 步入病房。左上肢绷带悬吊,左肘部膏药覆盖。去除膏药后可见左肘外侧一长约4cm手术疤痕,肘关节肿胀明显,未见明显皮下淤血,皮肤张力稍高,肘关节后方局部压痛明显,左肘活动明显受限,左肘后方可触及一活动性骨块,左上肢皮肤感觉未见明显异常,左腕及手指活动可,末梢血运良好。


诊断:左侧尺骨鹰嘴骨骺骨折 治疗:臂丛麻醉下行“左尺骨鹰嘴骨骺骨折切复内固定术”
1、院外避免外伤,避免剧烈运动,避免提重物; 2、院外继续左上肢石膏托外固定; 3、院外继续治疗,适时换药、拆线,避免感染; 4、首次复查时间:出院后4周,不适随诊;