下载或打开 医联APP 查看完整评论
立即下载
打开APP
患者,男,80岁,主因“上腹部疼痛不适1月。”以“1.胆囊占位性病变 ”收入院。患者于1月前无明显诱因开始出现中上腹疼痛不适,为阵发性,向后背放射,伴发热(具体温度不详)。收治于我院消化内科就诊,诊断为“急性胆囊炎”,经禁食、抗炎、肠外营养保守治疗后腹痛缓解,内科住院期间行相关检查,我院B超:肝大小形态正常,表面光滑,肝缘锐利,实质回声均匀,肝内血管走行正常,肝内胆管未见扩张。门静脉不扩张。肝内可见多个无回声,较大大小1.1cmx1.0cm,边界清。胆囊大小约9.2cmx4.4cm,壁厚0.9cm,不光滑,胆囊颈部气体干扰,显示不清,肝外胆管未见扩张。为求进一步治疗就诊我院,以"胆囊占位"收住院。自发病以来,患者一般情况可,精神可,睡眠可,进食可,二便可。
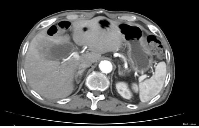
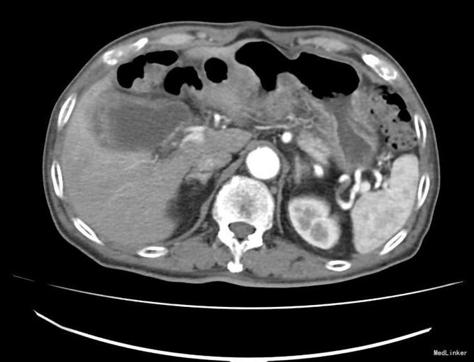
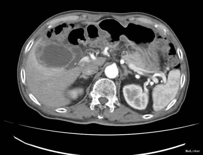
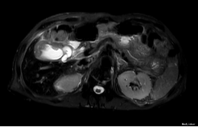
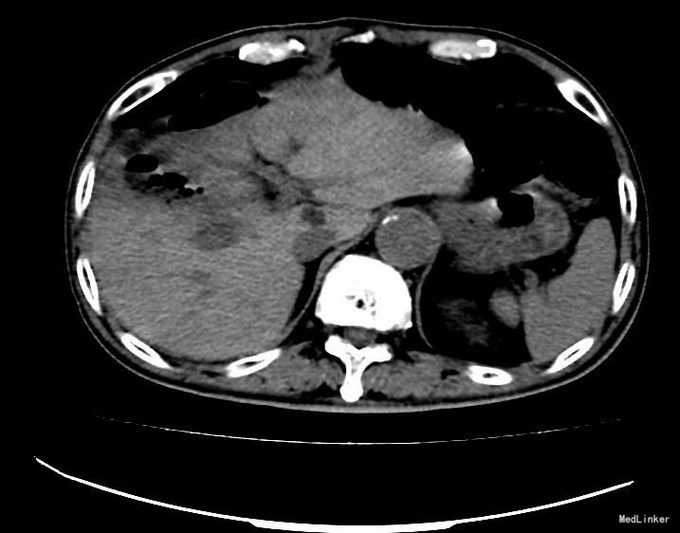
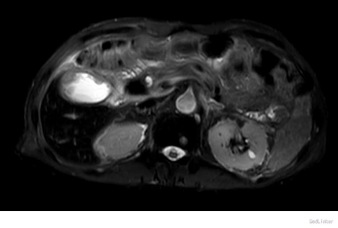
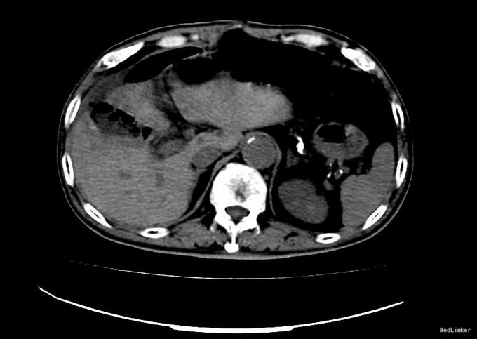
查体:右上腹轻压痛,无反跳痛、肌紧张。墨菲氏征弱阳性。 辅助检查:腹部CT:胆囊体积增大,壁增厚,以胆囊底部为著,增强扫描可见轻度强化,胆囊周围可见积液。MRI:胆囊增大,壁增厚,壁内可见多发结节状低信号灶。胆囊内可见泥沙样短T2信号影。



术前诊断:胆囊占位性病变; 术后诊断:胆囊结石胆囊炎; 治疗:剖腹探查、胆囊及部分肝脏切除术(术中发现胆囊约9x6×4cm,张力高,浆膜增厚,呈炎症水肿表现,胆囊底部与肝脏分界不清。决定行胆囊及部分肝脏(胆囊床)切除术。解剖胆囊三角,分别游离并处理胆囊管、胆囊动脉,予以丝线结扎。将距胆囊2cm的肝脏组织连同胆囊完整切除,期间阻断肝门5次,3-10分钟不等,距离胆总管0.5cm将胆囊管切断,移出胆囊。送冰冻病理,提示符合胆囊炎性表现。)
术后患者恢复良好,腹部不适明显缓解,术后石蜡病理提示胆囊炎性表现;术后一月复查,未见明显异常。