下载或打开 医联APP 查看完整评论
立即下载
打开APP
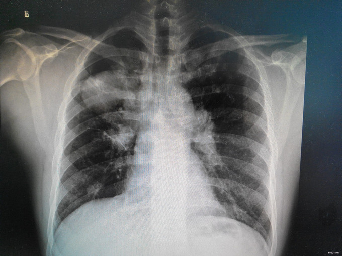
患者男,20岁,发热10天,伴咳嗽咳痰7天,加重2天。 患者于2015-10-12受凉后出现咽痛、畏寒发热,最高体温38.5℃,伴头痛、肩关节酸痛,无咳嗽咳痰,无胸痛胸闷等,遂至当地医院就诊,予左氧氟沙星、阿莫西林克拉维酸钾抗感染,布洛芬退热治疗2天,体温降至正常,自行停药,后出现咳嗽、咳少量白痰,10-21再次发热,体温未测,咳嗽咳痰明显加重,呈剧咳,咳黄脓痰,痰中偶有锈色血丝,伴胸痛、气促,活动后加重。遂来我院门诊,查胸片示:右肺炎症,以 ”肺炎“收住院。既往身体一般。
查体:精神稍萎,双上肺呼吸音稍粗,右肺可闻及少量湿罗音。心脏腹部查体未见异常。 辅查:血常规:白细胞计数10.1×10^9/L、中性粒细胞百分数79.80%;感染指标:CRP48.6mg/L、PCT0.139μg/L;血生化等未见明显异常;多次痰培养阴性。胸片如图示。

诊治经过:考虑为社区获得性肺炎,予头孢替安+莫西沙星经验性抗感染治疗7天,并予雾化吸入,化痰等治疗,患者连续3天无再发热,咳嗽咳痰较前明显好转,复查胸片示肺部炎症较前吸收,血象、感染指标较前好转,考虑抗感染治疗有效,遂改予口服抗生素并办理出院。
讨论:本例由于患者前期不够重视,治疗不规范,入院时已发展为比较典型的大叶性肺炎,甚至出现过铁锈色痰,根据社区获得性肺炎(CAP)病原体分布,选用二代头孢+莫西沙星经验性抗感染,其治疗效果也比较明显。