下载或打开 医联APP 查看完整评论
立即下载
打开APP
患者女,39岁,因“左肱骨骨折术后左肩关节左肘关节活动障碍6月”入院。 6月前患者外伤致左肱骨中下段粉碎性骨折,患者到当地人民医院行左肱骨骨折髓内钉及切开钢丝捆扎固定手术治疗(具体手术方式不详)。术后手术伤口恢复可,但患者左肩关节活动明显受限,并左肱骨下份肿胀严重,左肘关节活动稍受限。现患者左肩关节及左肘关节活动无明显好转,左上臂下段肿胀,皮温高。今患者到我院求进一步治疗。

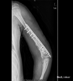
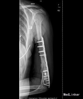
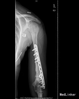
查体:左上肢肱骨下段内侧有一10cm手术疤痕,下段肿胀,皮肤无明显发红。余四肢未见异常,活动无受限;左肱骨下份肿胀,未触及局限包块及波动感,肿胀区皮温高。桡动脉搏动正常。左肩关节活动明显受限,外展约20度,前伸后屈约20度,内外旋约15度,肘关节伸0度、屈45度。余关节活动无异常。 辅查:X片示左肱骨中下段骨折术后,内固定在位。

初步诊断:1、左肱骨骨折术后骨不愈合。2、左肩、左肘关节活动障碍 诊疗计划:择期行左肱骨髓内钉取出术、左肱骨骨折钢板螺钉内固定术,人工骨植骨。


术中见肱骨下份原骨折处软组织肿胀,瘢痕形成较多,有少量骨痂生成,能见原骨折端。取出髓内钉及固定钢丝后,骨折明显不稳定有假关节活动。未见明显炎性增生、渗出及坏死组织。并取随内及骨折周围部分组织送病检及培养。

