下载或打开 医联APP 查看完整评论
立即下载
打开APP
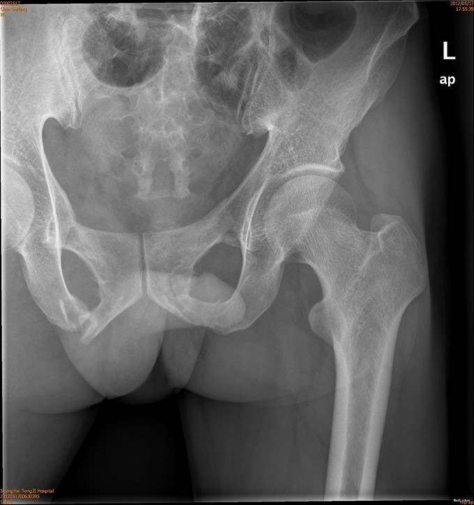
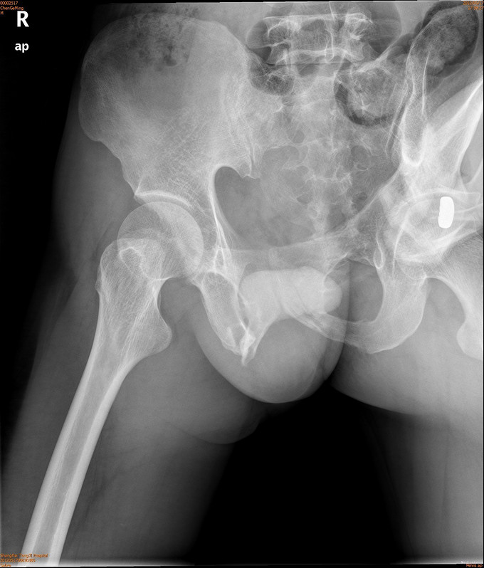
患者男,41岁,因车祸致双侧髂腰部、中下腹部及会阴部疼痛,伴尿道出血1小时。患者于1小时前不慎被汽车撞伤,当即感到双侧髂腰部、中下腹部及会阴部剧痛,尿道口有鲜血渗出,有昏迷,后自行苏醒,120送入我院急诊,CT示两侧骶髂关节前缘骨折,双侧耻骨上下支骨折,周围血肿形成。急诊导尿失败,遂入院治疗。




查体:右前臂外侧皮肤破损,有血液渗出,肘关节活动可;中下腹压痛明显,双侧髋部皮肤无挫伤,略肿胀,髂腰部、髋部及双侧耻骨处压痛,骨盆挤压实验阳性,尿道口有鲜血。双下肢未见明显异常。




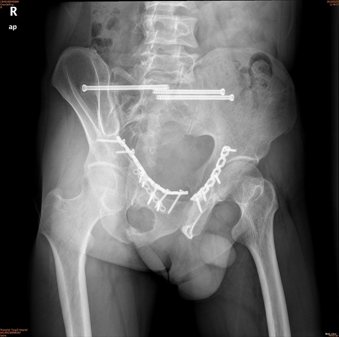
诊断为耻骨上下支骨折,兄弟科室会诊治疗结束后,患者病情稳定,行切开复位内固定术。


1年后随访患者无疼痛,活动可。耻骨上下支骨折ORIF术疗效良好。


