主诉:间断乏力、腹胀7年,加重伴肝区不适1周。 病史:患者7年前无诱因出现乏力、腹胀症状,当时就诊我院明确"乙肝肝硬化、门静脉高压症"诊断,行"脾切除、断流术",术后恢复良好。但患者乏力及腹胀症状间断出现,多次在我院住院治疗。19个月前(2014年4月)发现肝左叶占位,其后行"TACE"及"RFA+PEI"治疗,多次复查未见肿瘤复发转移证据,1年前行"三氧化二砷"静脉化疗2周期,因不耐受而终止治疗。1周前,患者无明确诱因感乏力、腹胀症状加重,并伴有肝区不适
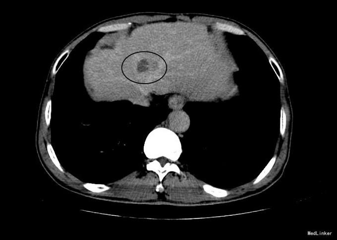
查体:神清语明,面色晦暗,皮肤巩膜无黄染,无肝掌及蜘蛛痣,浅表淋巴结无肿大,心肺听诊无异常,腹平软,未见胃肠型,全腹无压痛及反跳痛,肝右肋下未触及,胆囊未触及,墨菲氏征阴性,移动性浊音阴性,肠鸣音正常,双下肢无水肿,扑翼样震颤阴性。 化验:血细胞分析(五分类):白细胞计数 5.6 10^9/L、血小板计数 171.0 10^9/L、血红蛋白 141 g/L,肝功酶谱:*丙氨酸氨基转移酶 22 U/L、总蛋白 68.6 g/L、白蛋白 37.1 g/L、总胆红素 21.2 umol/L,葡萄糖测定:葡萄糖 4.78 mmol/L,凝血五项:凝血酶原时间 11.8 秒,丙型肝炎抗体测定(发光法):丙肝抗体 0.03 S/CO,糖类抗原CA-199测定:CA19-9XR 3.43 U/mL,糖类抗原CA-125测定:CA125II 16.35 U/mL,甲胎蛋白测定:甲胎蛋白 10.98 ng/mL,癌胚抗原测定:癌胚抗原 1.95 ng/mL。 肝增强CT印象诊断 两肺炎症改变。 肝左叶Ca治疗后,其内强化灶请结合临床。 肝硬化,侧枝循环建立,腹水少量。




诊断:乙肝肝硬化 代偿期 静止性(C-P A级);2、原发性肝癌局部消融术后。 治疗:患者入院后护肝治疗,查CT发现提示肝S4段可见一结节状稍低密度影,边界模糊,其内见斑点状高密度影,范围约2.52*2.0cm,增强扫描该病灶边缘呈结节样强化,延迟期密度低于周围肝实质,考虑肝癌局部复发,行经皮超声引导射频消融治疗。为确诊肝癌,术前超声造影,CEUS:动脉期治疗后病灶边缘见结节样强化。
患者CECT及CEUS均提示肝癌复发,复发病灶超声显示清晰,无肝穿活检及射频消融绝对禁忌症,行射频消融治疗术后恢复良好。化验:血细胞分析(五分类):白细胞计数 9.8 10^9/L、血小板计数 172.0 10^9/L、血红蛋白 143 g/L、中性粒细胞百分比 63.0 %,肝功酶谱:丙氨酸氨基转移酶 80 U/L、总蛋白 69.0 g/L、白蛋白 35.8 g/L、总胆红素 23.7 umol/L,甲胎蛋白测定:甲胎蛋白(AFP) 11.54 ng/mL。复查MR平扫,MR提示消融部位良好,消融范围充分。患者术后一周病情稳定,未见射频穿刺相关并发症,化验肝功改变与肝组织被消融密切相关,加用异甘草酸镁加强降酶护肝治疗,术后一周出院

