张某某,男,87岁,以”糊涂5个月,加重半月余“为主诉入院。 患者5个月前患脑梗塞,当时右侧肢体活动不灵,伴言语不清。治疗后未遗留肢体活动不灵,有言语欠清,饮水及进食略呛咳。后逐渐出现近记忆力减退,常常不认识家人,不知自己身在何处,日常生活无法自理,伴有胡言乱语及视幻觉。上述症状呈波动性,缓慢进展,发作时症状可持续1小时,不能正常沟通,发作间期可正常对话。近半月来症状逐渐加重,为求进步一诊治入我科。病来患者无发热,无头痛、头晕,无恶心、呕吐,无肢体活动不灵,无四肢抽搐,饮食睡眠可,二便正常,体重无明显减轻。 既往史:高血压病史10余年,最高可达180/90mmHg,口服美卡素80mg日一次控制在130-140/70-80mmHg;2型糖尿病10余年,拜糖平50mg日3次、格华止0.5g日3次餐中口服,近半年停用诺和灵30R皮下注射,控制不详;冠心病10余年,偶有心前区疼痛、胸闷发作,平日口服扩冠。
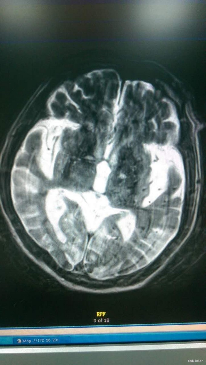
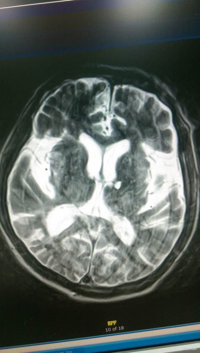
体格检查:T:36.2℃,P:79次/分,R:16次/分,BP:108/60mmHg。皮肤巩膜无黄染,无瘀点瘀斑。浅表未触及肿大淋巴结,肺部听诊双肺呼吸音清,未闻及干湿啰音,心律齐,各瓣膜听诊区未闻及病理性杂音,腹软,无压痛,肝脾肋下未触及,双下肢无浮肿,足背动脉博东良好。 专科查体:神志清醒,查体欠合作,言语正常,发音构音不良。双瞳孔等大正圆,D≈3.0mm,光反应灵敏。双眼向各方向运动充分,无眼震。无面舌瘫。颈强阴性。四肢肌力V级,四肢肌张力正常。BCR(L:++,R:++),TCR(L:++,R:++),PSR(L:++,R:++),ASR(L:++,R:++)。Babinski征(L:±,R:±)。深浅感觉查体未见确切异常。共济运动双侧稳准。 辅助检查:头CT(我院门诊,11-23)脑内多发软化灶。老年性脑萎缩。颈后部皮下血肿


初步诊断:血管性认知功能障碍 脑梗塞后遗症 高血压3级(极高危险组)2型糖尿病 冠心病 诊断依据:1、患者既往多发脑梗塞病史;此次以”糊涂5个月,加重半月余“为主诉入院,血管性认知功能障碍2、患者5个月前患脑梗塞,当时右侧肢体活动不灵,遗留言语含糊。3、高血压病史10余年,最高可达180/90mmHg,口服美卡素80mg日一次控制在130-140/70-80mmHg。4、2型糖尿病10余年,拜糖平50mg日3次、格华止0.5g日3次餐中口服,近半年停用诺和灵30R皮下注射,控制不详。5、冠心病10余年,偶有心前区疼痛、胸闷发作,平日口服扩冠。 治疗计划:1、完善入院常规检查如血常规、血生化、头MRI+DWI及血管相关检查等 2、给予患者改善脑循环、抗血小板、营养脑神经、改善认知功能、营养心肌、控制血压、监测血糖等对症支持治疗。
密切关注患者病情变化