下载或打开 医联APP 查看完整评论
立即下载
打开APP
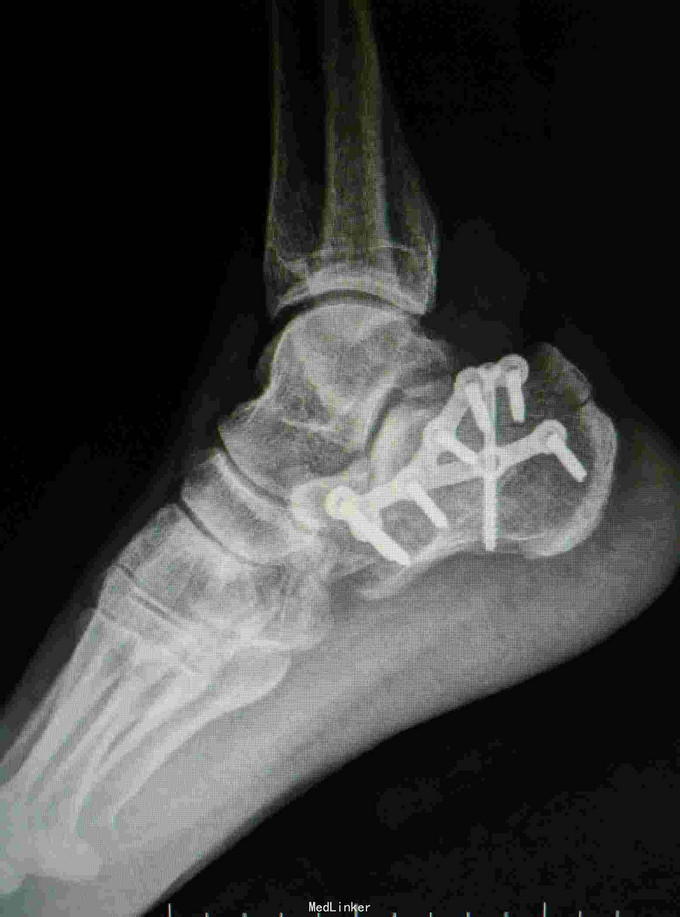
右足跟部肿痛,活动受限2小时 患者因高处坠落右足跟着地,当即出现右足跟肿痛,活动受限,余未诉特殊不适。急诊入院摄片提示跟骨骨折。
查体:脊柱生理弯曲存在,骨盆挤压分离实验阴性,双上肢肌力、活动正常,左下肢肌力、活动正常,右膝活动无明显异常,右足跟肿胀明显,无张力性水泡,皮下淤青,右踝关节活动稍受限。 辅查:平片及CT提示右跟骨粉碎性骨折




诊断:右跟骨粉碎性骨折 治疗:骨折切开复位内固定


随访:3月内避免患肢负重,3月后视复查情况决定是否负重,行功能锻炼。 讨论:跟骨骨折有部分患者远期效果并不特别好,尤其是骨折涉及关节面,术中应尽量复位。还有就是需要视软组织情况选择合适的固定方式。