下载或打开 医联APP 查看完整评论
立即下载
打开APP
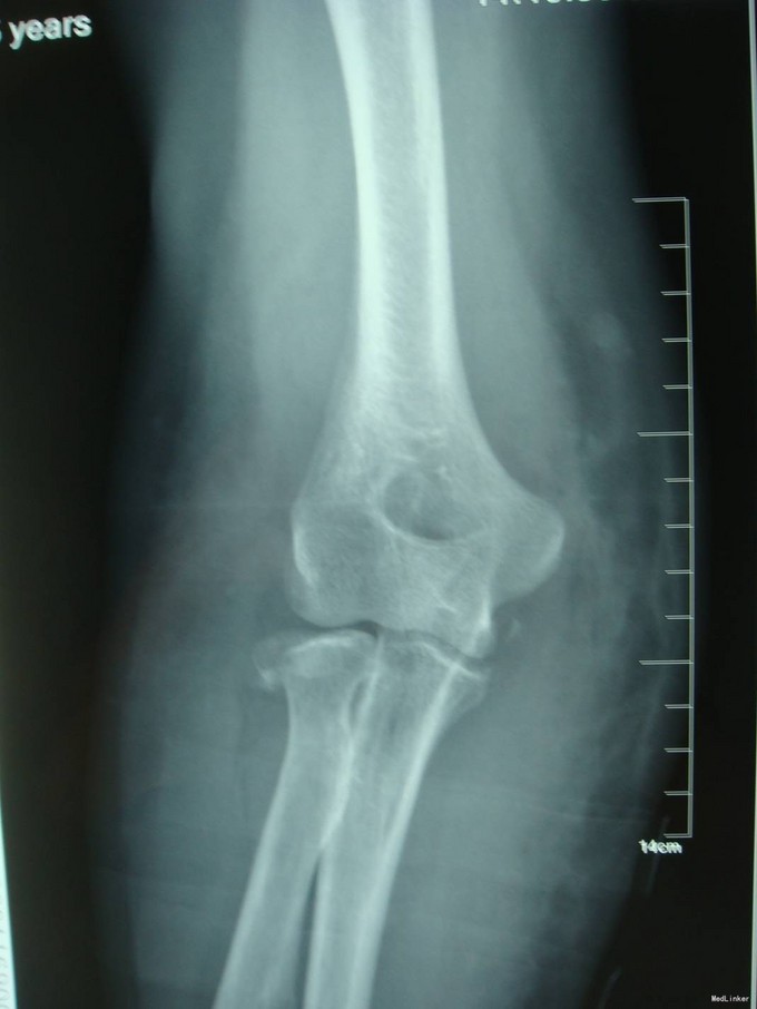
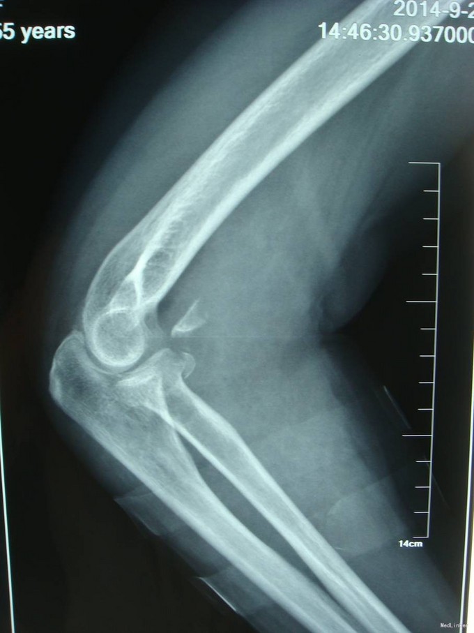
主诉:摔伤后右肘部疼痛10小时 患者自述2014-9-2 早8点自己走路时不小心摔倒,右肘部着地,导致右肘部疼痛、肿胀、活动受限,于当地医院拍片诊断为“右肘关节脱位”,给予手法复位, 为求进一步治疗来我院,诊断为“左肘关节骨折”,并收入我科,患者自受伤以来,无发热,无呼吸困难,无腹痛腹泻,饮食睡眠正常,大小便未见异常。



患者步入病房,左肘关节肿胀明显,压痛(+),骨擦音及骨擦感(+),左上肢感觉未见异常,左手指活动正常,左桡动脉搏动可触及。



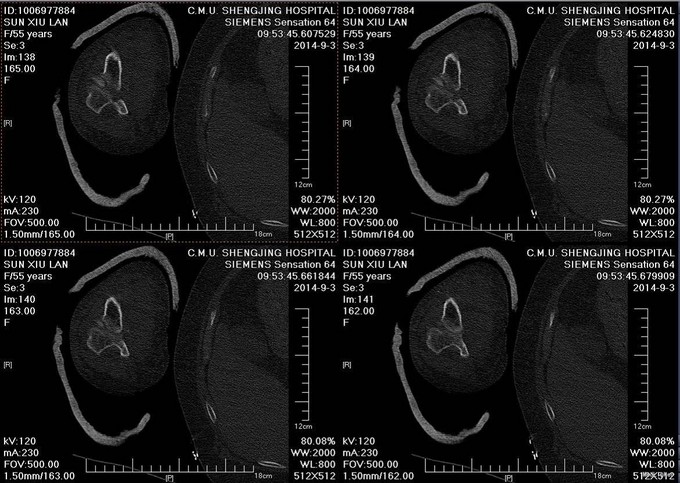
患者入院后左肘关节石膏固定,左肘关节对症消肿等治疗。1周后完善检查后查无明显手术禁忌症后行左桡骨小头骨折切开复位内固定术。
