下载或打开 医联APP 查看完整评论
立即下载
打开APP
主诉:诉腰痛并双下肢间歇性跛行半年余。 病史:患者诉半年前无明显诱因出现腰部疼痛,呈酸胀感,起床、弯腰活动时为甚。伴双下肢间歇性跛行,步行不能超过200米,卧位休息后可缓解,无伴双下肢肿胀、发热等不适。到当地医院行MRI影像学检查,考虑腰4/5椎管狭窄症。现为进一步诊治收入我科。患者起病以来,无发热,无咳嗽咳痰,无胸闷气促,无腹胀腹痛,无尿频尿急。精神胃纳可,睡眠可,大小便正常。


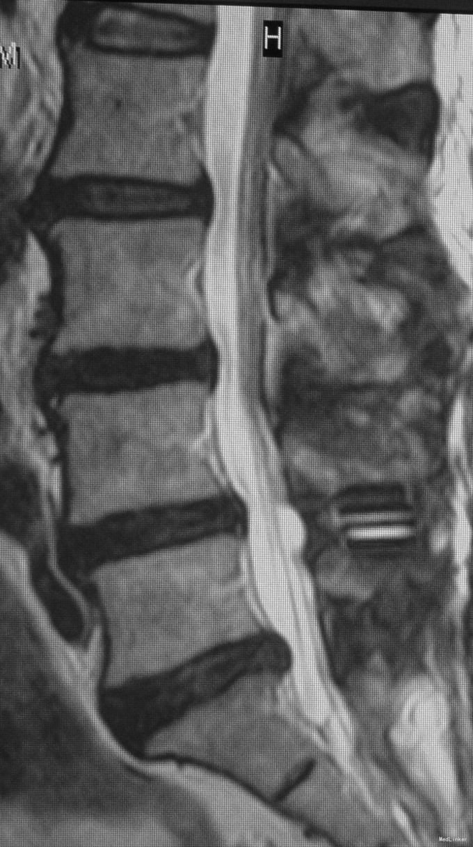
查体:脊柱生理弯曲存在,腰椎活动受限,L4/L5棘突压痛叩痛,叩击痛。双侧直腿抬高试验(-)。双下肢皮肤感觉正常,双侧髂腰肌、股四头肌、双侧胫前肌、踇背伸肌肌力Ⅳ级,腹壁反射、肛门反射正常,两侧膝正常,双侧踝反射未引出。双侧Babinski征(-),双侧皮温及色泽正常,双侧足背动脉搏动良好。 辅助检查:X光片示:动力位片显示腰椎4/5椎间失稳。MRI检查显示:腰4/5椎间盘突出,黄韧带肥厚致椎管狭窄,相应节段硬膜囊受压改变。



诊断:腰4/5椎管狭窄并失稳症。 治疗:给予行后路腰4/5右侧椎板间开窗减压椎间盘摘除并肥厚黄韧带切除+棘突间wallis固定术。


随访示患者腰痛及双下肢跛行症状明显缓解。 讨论:该例患者临床症状主要为腰痛并间歇性跛行,椎间盘突出合并黄韧带肥厚致椎管狭窄,且存在轻度失稳,故给予椎管减压并棘突间wallis动态固定。术后效果满意。


