下载或打开 医联APP 查看完整评论
立即下载
打开APP
1、主诉、发现双肾结石10余年 2、患者10余年前体检发现双肾结石,不伴发热、腰部不适,无尿频、尿急、尿痛,无排尿困难,无血尿、脓尿,未行特殊治疗。10月前患者于外院行“经皮肾镜下右肾结石碎石取石术”。术后恢复良好。现患者为进一步诊治收入我科
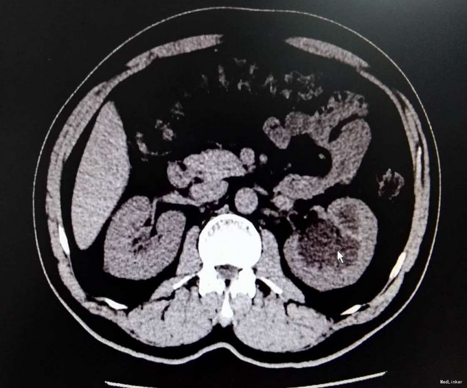
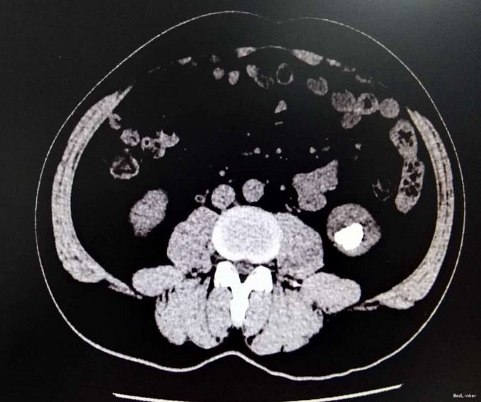
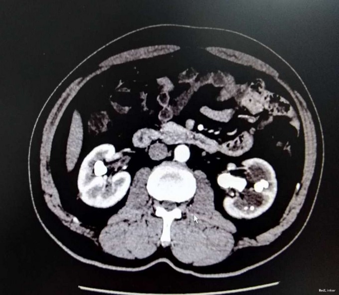
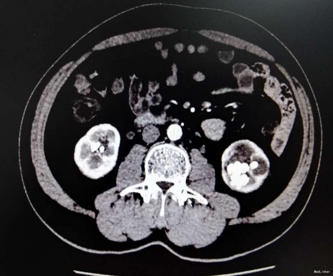
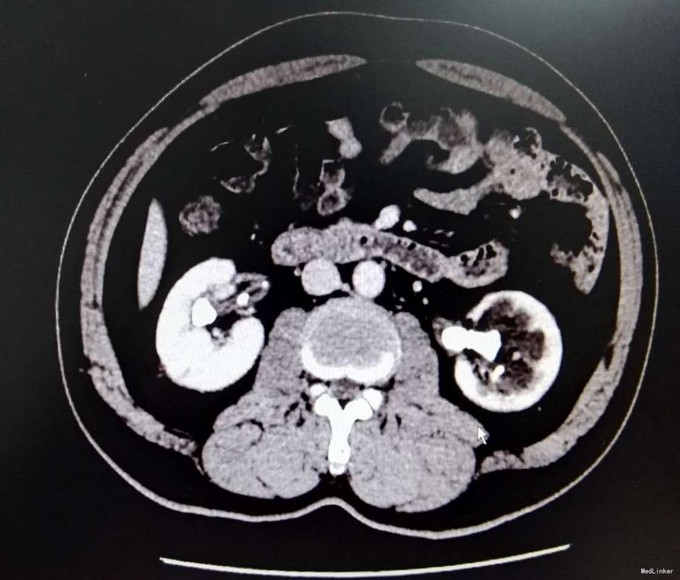
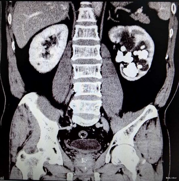
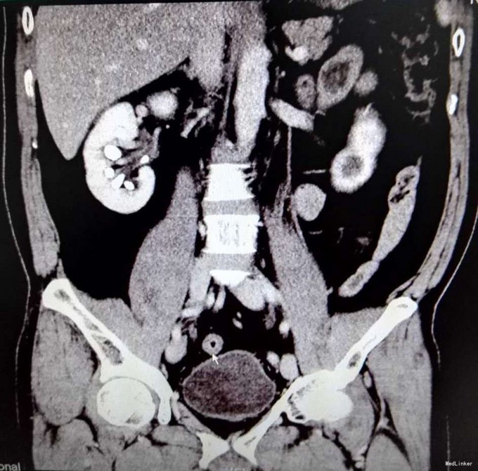
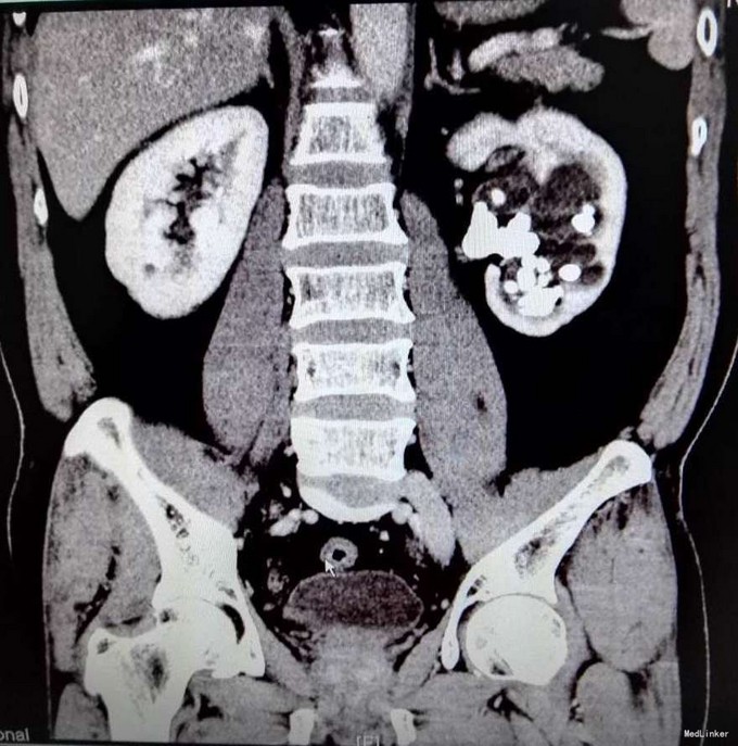
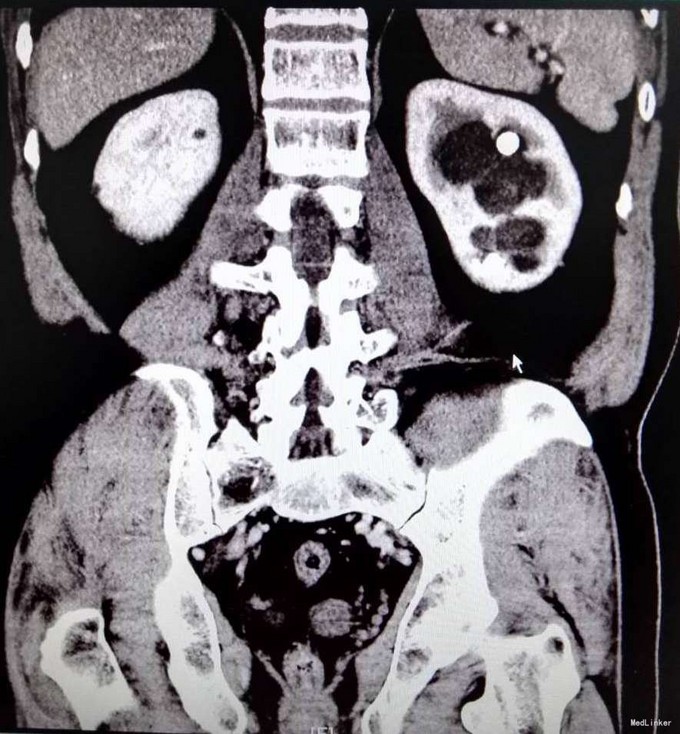
3、查体:未见明显阳性体征 4、辅助检查:外院平片:双肾多发结石;我院CTU:双肾多发结石,左侧肾盂输尿管连接处结石,并双肾积水,左肾明显,双侧肾盂、输尿管炎症。








5、诊断:肾结石(双肾多发结石) 6、治疗:入院后完善相关检查,双肾CTU:双肾多发结石,左侧肾盂输尿管连接处结石,并双肾积水,左肾明显,双侧肾盂、输尿管炎症。排除手术禁忌症后行左侧PCNL术,术后恢复良好,拔出肾造瘘管后,先出院休息,2周后返院进一步治疗






7、经皮肾镜技术(PCNL) 适用于1、各种肾、输尿管上段结石,如大于2.5cm肾结石,尤其是铸型结石;复杂肾结石、有症状的肾盏憩室结石、肾内型肾盂合并连接部狭窄的结石等;胱氨酸结石、ESWL无效的一种草酸钙结石。2、输尿管上段或连接部狭窄。3、取肾孟、输尿管上段的异物。一期手术 肾穿刺造瘘和碎石同时进行。多数PNL都可以实行一期手术。优点:一次操作,一次麻醉,痛苦小,住院时间短,费用低。缺点:易出血,视野不清,操作鞘脱出后容易失败。二期手术先期肾穿刺造瘘,经过一段时间窦道形成,身体状况改善后,再行手术。适合于合并感染、肾后性肾功能不全者;有出血倾向者;一期操作出血严重者;一期或开放手术后残余结石者;优点:窦道已经形成,出血少,视野清楚。预先决定行二期手术者,可以在B超引导下局麻穿刺造瘘。没有肾积水的铸形结石,B超引导穿刺置管的失败率较高。二期手术可不麻醉。