下载或打开 医联APP 查看完整评论
立即下载
打开APP
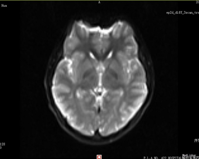
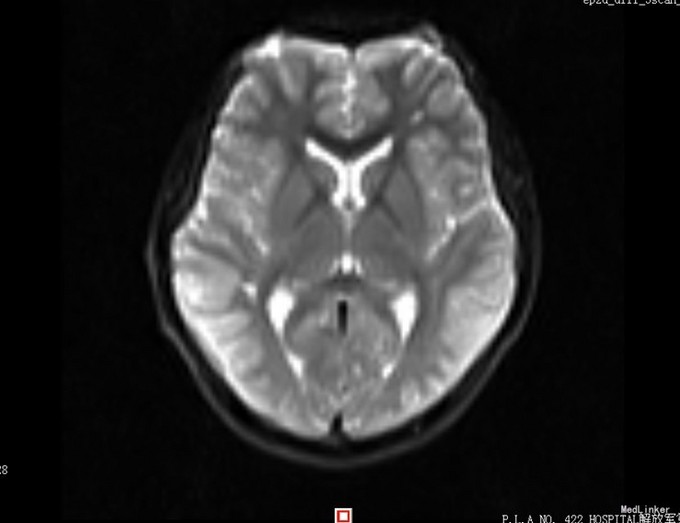
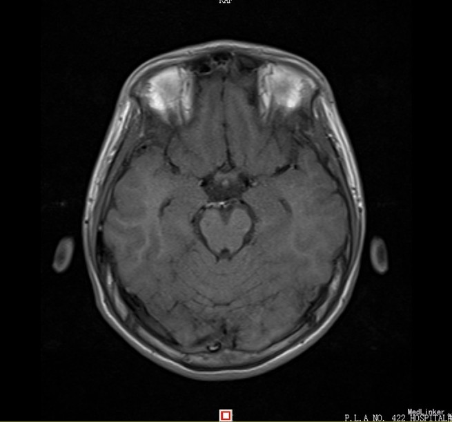
患者,男,14岁,患者自2周前不慎因外伤后出现头痛、头晕,为持续性钝痛,以后枕部为主,无发热畏寒,无视物模糊,无胸闷气短等不适,当时未引起足够重视,后患者感症状持续存在,遂告诉家人,家人送到我院门诊就诊,查头颅CT示:1、双侧大脑半卵圆中心区见多发斑片状低密度影,考虑血管间隙扩大可能,建议MRI复查;2、双侧额窦、筛窦炎。为进一步检查及治疗入院。患者目前精神欠佳,体力下降,食欲正常,睡眠正常,体重无明显变化,大便正常,排尿正常。既往体健。
查体:体温:36.4℃,脉搏:86 次/分,呼吸:18次/分,血压:126/67mmHg。神志清。心肺腹查体未见明显异常。左侧上肢体肌力5级,左侧下肢体肌力5级,右侧上肢体肌力5级,右侧下肢体肌力5级;四肢肌张力正常。生理反射存在。病理征未引出。脑膜刺激征(-)。 辅助检查:血常规、生化全套未见明显异常。心电图及胸部X线均未见明显异常。





患者目前诊断:1、脑外伤后综合征;2、半卵圆中心区血管间隙扩大;给予改善循环、营养神经等对症治疗,患者头痛、头晕症状明显好转。
经过1周治疗,患者头痛头晕症状基本消失。目前半卵圆中心区血管间隙扩大需要3月后复查。目前血管间隙扩大与此次外伤间有关系吗?其血管间隙扩大的机制是什么呢?