打开应用

Wells综合症1例

曾医师   中国医学科学院北京协和医院
蜂窝织炎 嗜酸性蜂窝织炎

主诉 病史

患者女,31岁。因反复四肢水疱、脓疱、红斑,自觉瘙痒、疼痛1年余,加重1月来我科就诊。患者1年余前无明显诱因于右手第4指突起数个红色丘疹,后形成水疱、大疱、脓疱,同时周围皮肤出现红肿,自觉瘙痒及疼痛,但无发热。皮损渐进展至右腕部、右前臂、双足底。10月前患者于腹部及背部出现多发红色丘疹,皮损逐渐增多、增大,并融合成红色斑块,皮损肿胀、发硬。患者曾于当地医院诊断为“带状疱疹”,“掌跖脓疱病”等,予口服“更昔洛韦”、“强的松”(用量不详),皮损可消退,但停药后四肢皮损复发。曾多次于当地诊所静脉输注“头孢类抗生素”无效。近1年来四肢皮损反复发生,不予治疗亦可逐渐好转。1月前患者右上肢皮损复发,同时出现右上肢弥漫性红肿、发硬,伴疼痛,遂来我院就诊。 既往史、个人史、家族史均无特殊。

查体 辅查

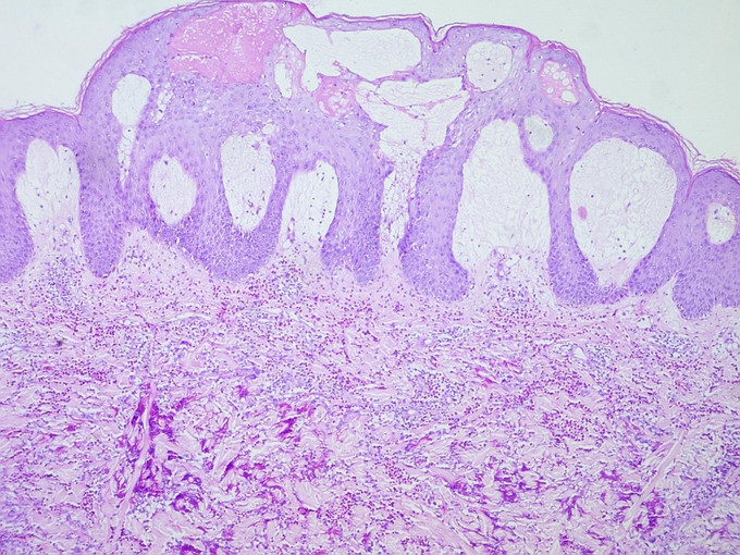
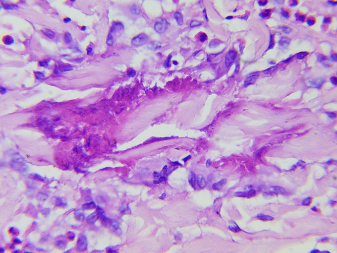
体格检查:系统检查无异常。皮肤科检查:右上肢弥漫性红肿,非可凹性,皮温高,触之较硬。双手、右前臂散在粟粒至黄豆大小水疱、大疱、脓疱,尼氏征阴性,左前臂、双足跖有少量大小不一黄色结痂面。四肢、背部、腹部多发大小不一、境界欠清之色素沉着斑。 实验室及辅助检查:血常规WBC 15.84×10*9/L,EOS% 20.4%,EOS 3.88×10*9/L 。疱液细菌培养及真菌培养均未见异常。ANA、dsDNA,、ENA谱均阴性。组织病理检查:表皮棘层不规则肥厚,皮突延长,真皮乳头高度水肿,真皮全层和皮下脂肪可见大量嗜酸性细胞浸润,并可见火焰现象。

诊断 处理

嗜酸性蜂窝织炎(Wells综合征)。予口服强的松龙30mg/d,治疗2周后大部分皮损消退。

随访 讨论

嗜酸性蜂窝织炎(Eosinophilic Cellulitis)是一种以反复发作的红色水肿性斑块为特点的疾病,最早由Wells于1971年首先报告,又称Wells综合征(Wells syndrome)。本病发病无性别差异,患者年龄跨度大,平均37岁。疾病在发病早期类似于急性蜂窝织炎,皮肤病理表现为显著的炎症性肉芽肿特征。皮损好发于四肢和躯干。常表现为边界清晰、水肿性、触之坚实的环状红色斑块,类似蜂窝组织样,但也可有其他多种临床表现,包括水疱、结节、丘疱疹和瘙痒性剥脱性炎性丘疹。有些患者可引起疼痛和瘙痒,皮损愈后不留瘢痕。 本病病理变化:急性期皮损活检可见真皮水钟,并有大量的嗜酸性粒细胞浸润,表皮下偶见水疱。亚急性期真皮有弥漫性组织细胞和嗜酸性粒细胞浸润,部分碎裂的嗜酸性粒细胞围绕着坏死的胶原纤维形成斑块状浸润,可以见到大而淡染的组织细胞及异形巨细胞围绕嗜酸性不定形物呈栅栏状排列的“火焰像”。消退期组织细胞渐进性坏死,类似肉芽肿的改变,仍有“火焰像”持续存在。根据患者的临床特征及病理上“火焰像”的特点可诊断本病。本例患者起病时皮疹不典型,开始时为单侧发病,表现为红色小丘疹、后逐渐形成水疱、大疱,故曾被诊断为“带状疱疹”,皮损进展到对侧上肢并出现脓疱后又被诊断为“掌跖脓疱病”,最终取皮肤病理而确诊。 本病发病原因的机制尚不清楚。部分患者血清中可以出现抗核抗体,组织病理上可见广泛发生的纤维蛋白样坏死,小血管炎及嗜酸性粒细胞增多,故认为可能为自身免疫性疾病,本病是否是原发性独特的疾病还是对其他可能的过敏刺激的反应还不清楚。它与昆虫叮咬、盘丝虫病、肠道寄生虫病、水痘、腮腺炎、破伤风疫苗接种、药物反应、骨髓增生症、特应性素质、嗜酸性粒细胞增多综合征和真菌感染有关。 本病对抗生素治疗无反应,该患者曾使用“头孢类抗生素”治疗无效也印证该点。有效的治疗包括口服抗组胺药、氨苯砜或小剂量激素,UVB或PUVA也可能有效。本患者经小剂量激素治疗后病情有改善,目前仍在随访中。

发布于 15-11-28 15:39

4 个评论

发送